跳至内容
  • 周日. 1 月 18th, 2026

萨萨的宠物文献笔记

记录一位兽医的成长

  • 疾病分类
    • 呼吸疾病
    • 泌尿及生殖
    • 心脏疾病
    • 骨科疾病
    • 皮肤疾病
    • 消化疾病
    • 神经疾病
    • 眼科疾病
    • 耳部疾病
    • 口腔疾病
    • 内分泌疾病
    • 血液疾病
  • 临床实践
  • 兽医书籍
  • 文献速读
  • 关于我们
  • 隐私政策
热门标签
  • 肿瘤
  • 感染
  • 转移
  • 寄生虫
  • 骨折
  • 囊肿
  • 真菌

最新文章

【实践】犬输血Part.2:理论付诸实践 【实践】犬输血Part.1:为何、用什么、何时以及如何进行输血? 【病例】短毛猫口臭消瘦,竟是因为下唇里卡了一颗“唾液结石” 【病例】犬卵巢囊脓肿:未绝育母犬急腹症“隐形炸弹”的影像破解与手术转归 【病例】猫首例壶腹周围十二指肠腺癌根治术:Whipple式切除+胆胰双吻合实现14个月无病生存
临床实践

【实践】犬输血Part.2:理论付诸实践

2026年1月9日 萨萨
临床实践

【实践】犬输血Part.1:为何、用什么、何时以及如何进行输血?

2026年1月9日 萨萨
口腔疾病

【病例】短毛猫口臭消瘦,竟是因为下唇里卡了一颗“唾液结石”

2026年1月9日 萨萨
泌尿及生殖

【病例】犬卵巢囊脓肿:未绝育母犬急腹症“隐形炸弹”的影像破解与手术转归

2026年1月9日 萨萨
消化疾病

【病例】猫首例壶腹周围十二指肠腺癌根治术:Whipple式切除+胆胰双吻合实现14个月无病生存

2026年1月9日 萨萨
  • 最新
  • 热门
  • 趋势
【实践】犬输血Part.2:理论付诸实践
临床实践
【实践】犬输血Part.2:理论付诸实践
【实践】犬输血Part.1:为何、用什么、何时以及如何进行输血?
临床实践
【实践】犬输血Part.1:为何、用什么、何时以及如何进行输血?
【病例】短毛猫口臭消瘦,竟是因为下唇里卡了一颗“唾液结石”
口腔疾病
【病例】短毛猫口臭消瘦,竟是因为下唇里卡了一颗“唾液结石”
【病例】犬卵巢囊脓肿:未绝育母犬急腹症“隐形炸弹”的影像破解与手术转归
泌尿及生殖
【病例】犬卵巢囊脓肿:未绝育母犬急腹症“隐形炸弹”的影像破解与手术转归
【实践】犬猫重症肌无力的诊断和治疗
临床实践 神经疾病
【实践】犬猫重症肌无力的诊断和治疗
猫有机磷中毒该咋治?阿托品好使不?
神经疾病
猫有机磷中毒该咋治?阿托品好使不?
【病例】猫尿腹症的罕见原因:肾破裂与肾盂肾炎
泌尿及生殖
【病例】猫尿腹症的罕见原因:肾破裂与肾盂肾炎
一例泰迪贵宾犬膀胱结石的诊断和治疗
泌尿及生殖
一例泰迪贵宾犬膀胱结石的诊断和治疗
【实践】犬输血Part.2:理论付诸实践
临床实践
【实践】犬输血Part.2:理论付诸实践
【实践】犬输血Part.1:为何、用什么、何时以及如何进行输血?
临床实践
【实践】犬输血Part.1:为何、用什么、何时以及如何进行输血?
【病例】短毛猫口臭消瘦,竟是因为下唇里卡了一颗“唾液结石”
口腔疾病
【病例】短毛猫口臭消瘦,竟是因为下唇里卡了一颗“唾液结石”
【病例】犬卵巢囊脓肿:未绝育母犬急腹症“隐形炸弹”的影像破解与手术转归
泌尿及生殖
【病例】犬卵巢囊脓肿:未绝育母犬急腹症“隐形炸弹”的影像破解与手术转归
临床实践

【实践】犬输血Part.2:理论付诸实践

2026年1月9日 萨萨

血制品虽可救命,但伴风险,部分可致命。

临床实践

【实践】犬输血Part.1:为何、用什么、何时以及如何进行输血?

2026年1月9日 萨萨

随着血制品在英国犬中的种类日益丰富、获取更为便捷,其使用频率…

口腔疾病

【病例】短毛猫口臭消瘦,竟是因为下唇里卡了一颗“唾液结石”

2026年1月9日 萨萨

猫涎石病(sialolithiasis)指唾液腺或导管内形成…

泌尿及生殖

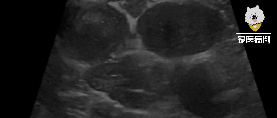
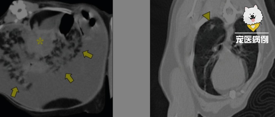
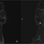
【病例】犬卵巢囊脓肿:未绝育母犬急腹症“隐形炸弹”的影像破解与手术转归

2026年1月9日 萨萨

卵巢囊脓肿(OBA)是指炎症性渗出物积聚于卵巢囊内形成的局限…

消化疾病

【病例】猫首例壶腹周围十二指肠腺癌根治术:Whipple式切除+胆胰双吻合实现14个月无病生存

2026年1月9日 萨萨

十二指肠壶腹周围腺癌在猫极为罕见,迄今英文文献仅零星报道3~…

兽医书籍

Chapter 50. 犬猫胆汁性呕吐综合征

2026年1月9日 萨萨

小动物胃肠道疾病

内分泌疾病

【病例】伪装成关节炎的恶性嗜铬细胞瘤:一例以多肢跛行和关节肿胀首发的犬广泛骨转移病例报告

2026年1月9日 萨萨

嗜铬细胞瘤(pheochromocytoma)是源于肾上腺髓…

泌尿及生殖

【病例】腹腔镜膀胱固定术治愈一例罕见猫动态性骨盆内膀胱移位

2026年1月9日 萨萨

动态性骨盆内膀胱移位(DIUBD)指膀胱在腹压变化时间歇性滑…

临床实践

【实践】在普通诊疗中处理犬猫的膈肌破裂

2026年1月9日 萨萨

膈肌破裂是一种危及生命的疾病,需要全面、系统的处理。

泌尿及生殖

【病例】库欣犬二尖瓣钙化团块:一例系统性营养不良性钙化的罕见警示

2026年1月9日 萨萨

犬肾上腺皮质机能亢进(HAC,库欣综合征)是由于长期糖皮质激…

文章分页

1 2 … 82

近期文章

  • 【实践】犬输血Part.2:理论付诸实践
  • 【实践】犬输血Part.1:为何、用什么、何时以及如何进行输血?
  • 【病例】短毛猫口臭消瘦,竟是因为下唇里卡了一颗“唾液结石”
  • 【病例】犬卵巢囊脓肿:未绝育母犬急腹症“隐形炸弹”的影像破解与手术转归
  • 【病例】猫首例壶腹周围十二指肠腺癌根治术:Whipple式切除+胆胰双吻合实现14个月无病生存

分类

  • 临床实践
  • 兽医书籍
  • 内分泌疾病
  • 口腔疾病
  • 呼吸疾病
  • 心脏疾病
  • 文献速读
  • 泌尿及生殖
  • 消化疾病
  • 皮肤疾病
  • 眼科疾病
  • 神经疾病
  • 耳部疾病
  • 血液疾病
  • 骨科疾病

You missed

临床实践

【实践】犬输血Part.2:理论付诸实践

2026年1月9日 萨萨
临床实践

【实践】犬输血Part.1:为何、用什么、何时以及如何进行输血?

2026年1月9日 萨萨
口腔疾病

【病例】短毛猫口臭消瘦,竟是因为下唇里卡了一颗“唾液结石”

2026年1月9日 萨萨
泌尿及生殖

【病例】犬卵巢囊脓肿:未绝育母犬急腹症“隐形炸弹”的影像破解与手术转归

2026年1月9日 萨萨

萨萨的宠物文献笔记

记录一位兽医的成长

自豪地采用WordPress | 主题: Newsup 作者 Themeansar

  • 疾病分类
    • 呼吸疾病
    • 泌尿及生殖
    • 心脏疾病
    • 骨科疾病
    • 皮肤疾病
    • 消化疾病
    • 神经疾病
    • 眼科疾病
    • 耳部疾病
    • 口腔疾病
    • 内分泌疾病
    • 血液疾病
  • 临床实践
  • 兽医书籍
  • 文献速读
  • 关于我们
  • 隐私政策