
| 一般情况 | |
![]() | 品种:短毛猫 |
| 年龄:4岁 | |
| 性别:雄 | |
| 是否绝育:是 | |
| 诊断:胆囊扭转 | |
01 主诉及病史
因持续厌食、精神萎靡及呕吐(每日一次,持续两天)被转诊。
转诊兽医已进行血液检测,显示肝酶显著升高;尿液中检测到胆红素。有特发性膀胱炎病史,既往无腹部手术史。
02 检查
体重4.3公斤。精神萎靡,心率184次/分,呼吸20次/分,直肠温度39.3°C。黏膜呈粉红色无黄疸,腹部触诊未见明显疼痛。全血细胞计数结果正常。
血生化异常指标包括:总蛋白8.4 g/dl [5.7–7.8];白蛋白3.9 g/dl [2.3–3.5];丙氨酸转氨酶3272 U/l [22–84];天冬氨酸转氨酶440 U/l [18–51];碱性磷酸酶588 U/l [38–165];总胆红素1.0 mg/dL [0.1–0.4];总胆固醇286 mg/dL [89–176];葡萄糖182 mg/dL [71–148];钙12.2 mg/dL [8.8–11.9]。猫白血病病毒和猫免疫缺陷病毒检测结果均为阴性。尿沉渣检查发现胆红素结晶。
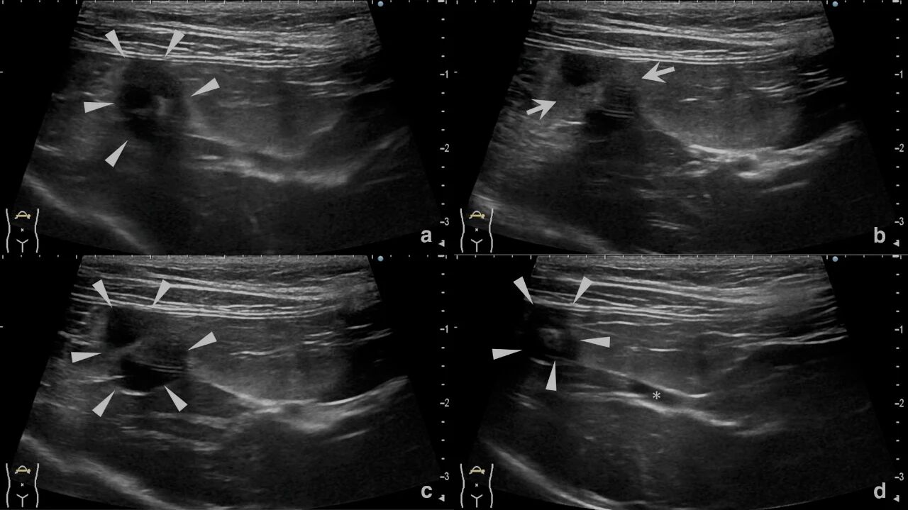
胸部及腹部X线片未见异常。腹部超声显示胆囊无扩大或壁增厚。周围脂肪局部呈高回声。胆囊体积缩小,胆囊管呈细直状,胆囊体呈连续螺旋形,交替呈现C形与反C形结构(下图)。未见胆泥、混浊或胆结石。未进行彩色多普勒评估。肝实质呈弥漫性低回声。未见肝淋巴结肿大。

↑ 超声图像。(a) 胆囊底部带有连续的C形和反C形结构(三角)。(b) 胆囊体周围的高回声脂肪(箭头)。(cd) 螺旋形胆囊体(三角);胆管看起来狭窄而直(*)。
超声引导下肝脏细针穿刺显示轻度肝细胞空泡变性。虽怀疑肝胆疾病,但未能确诊。经饲主同意,于当日实施探查性剖腹术及组织活检。
03 治疗
术中发现胆囊体部(胆管远端)发生四重扭转,未见肝叶扭转。胆囊底与大网膜粘连,未见胆囊破裂、腹水或色泽改变(下图)。用钳夹牵引胆囊,于扭转处近端胆管行结扎切断术后摘除胆囊。术中同时行肝活检。

↑ 术中照片。(a) 胆囊扭转,从颈部到体部观察到四重旋转。(b) 大网膜脂肪附着于胆囊底部。(c) 肝叶无扭转的证据。(d) 牵拉胆囊底部揭示扭转部位。靠近近端胆管处未见扭转(箭头)。
诱导麻醉约34分钟后,胆囊操作期间出现平均动脉压下降(48 mmHg)。静脉推注合成胶体溶液(10 mL/kg)后,血压于2分钟内恢复正常。推测系胆囊牵引引发的迷走神经反射所致。
术前镇痛采用丁丙诺啡(0.02 mg/kg,IV)。术后给予静脉输液及头孢唑林(20 mg/kg,IV,q8h)。尽管术后第1天恢复自主进食,仍持续辅助喂罐头食品至第4天以确保摄入充足。
切除的胆囊呈现萎缩状态,从胆囊体部至颈部可见螺旋状形态。胆囊切除术后收集的胆汁经培养检测结果为阴性。病理学检查显示胆囊形态畸形,平滑肌层变薄,结缔组织水肿,黏膜上皮组织紊乱。大网膜粘连处可见肉芽组织及含血红素的巨噬细胞,胆管周围存在扩张的淋巴管。肝脏组织学检查显示肝细胞结构完整,未见显著异常(下图)。

↑ (a) 切除的胆囊显示出螺旋形态和萎缩。颈部显示轻微绿色变色(箭头)。(bc) 胆囊壁在粘连部位的组织病理,伴有肉芽组织和含血色素的巨噬细胞。
04 预后
术后恢复顺利,第4天出院。
术后1周,临床症状已消失,血清肝酶、碱性磷酸酶及总胆红素均恢复正常。胆固醇、葡萄糖和钙浓度在术后次日即恢复正常。预后极佳。
05 讨论
胆囊扭转是一种罕见但可能危及生命的疾病,它发生在胆囊围绕其系膜旋转,导致血管受压,进而引发胆囊坏死。在人类医学中,这是一种不常见的急性腹痛原因,通常与先天性胆囊活动性增强有关,可能由腹内压增加、肠道蠕动或器官运动等因素诱发。
在兽医学中,胆囊扭转在狗中有过报道,通常与肝脏叶扭转同时发生。然而,猫的胆囊扭转病例非常罕见,此前仅有一例与肝脏叶扭转相关的猫胆囊扭转报道,本病例是首次报道的猫胆囊扭转且未并发肝脏叶扭转的情况。
本病例中,胆囊扭转独立发生,未发现类似“游离胆囊”(缺乏肝脏附着的胆囊)的情况,表明其病理生理机制与之前报道的病例不同。大体检查发现胆囊底部与网膜粘连,组织病理学检查显示胆囊壁有慢性炎症改变。由于此前没有腹部手术史,可以排除术后粘连的可能性。
这些发现提示,网膜与胆囊底部的粘连可能在胆囊底部和颈部之间形成了一个旋转轴,导致胆囊旋转不稳定并最终发生扭转。尽管确切的触发因素尚不清楚,但可能的促成因素包括胆囊扩张或收缩、身体运动以及由邻近器官(如胃肠道或膀胱)引起的腹内压波动。
在人类和犬的胆囊扭转病例中,超声检查结果有所不同。在人类中,常见表现包括胆囊增大、壁增厚、位置异常、胆囊周围积液以及“胆管结节征”。在一些病例中,彩色多普勒超声可发现胆囊壁内无血流。
在犬中,超声特征包括腹水、胆囊增大、壁增厚和移位,但有些病例缺乏明显特征。而本病例的超声检查结果显示胆囊较小,呈螺旋形,胆管细而直,胆囊底部不清晰,周围脂肪局部回声增强,没有出现胆囊增大、壁增厚或移位的情况,也未检测到胆囊周围积液或胆结石。尽管本病例未进行多普勒检查,但在未来病例中应考虑使用多普勒超声来评估胆囊壁的血流情况。
在人类医学中,彩色多普勒成像显示胆囊壁内无血流被认为是胆囊扭转的一个有用诊断指标。然而,在犬报告中尚未描述过类似的多普勒发现。尽管在猫的病例中,多普勒超声已被用于评估扭转肝脏叶的血管血流,但尚未有专门评估胆囊扭转期间胆囊壁内血流的报告。
本病例表明,猫的胆囊扭转可能具有与其他物种不同的超声检查特征,特别是螺旋形的胆囊体和周围脂肪的高回声可能是有助于诊断的线索。需要进一步积累类似的猫病例,以明确诊断特征。
总之,猫的胆囊扭转是一种极为罕见的疾病,本病例是首次报道的无肝脏叶扭转的胆囊扭转病例。这种疾病可能表现出独特的超声检查特征,包括螺旋形的胆囊体、连续的C形和反C形曲线以及局部高回声脂肪。这些特征应促使兽医将胆囊扭转作为猫出现肝酶升高和非特异性胃肠道症状时的鉴别诊断之一。未来需要进一步研究以明确猫胆囊扭转的临床和诊断特征。
文献来源:Inoue C, Kagawa Y, Toshima A. Gallbladder torsion without hepatic lobe torsion in a cat. JFMS Open Rep. 2025 Aug 15;11(2):20551169251351205.
