
01 定义/概述
- 巨食管(ME)是一种食管弥漫性扩张(局灶性或全身性),其特征为食管运动功能减弱或缺失。
02 病因/发病机制
- 食管收缩是吞咽动作和食管扩张的反应。
- 食管内食物的存在通过刺激咽部和近端食管的传入迷走神经感受器,引发初级蠕动。这些冲动经中枢传导至脑干的疑核。运动冲动沿迷走神经传出神经下行,刺激横纹肌(犬)和平滑肌(猫)。下食管括约肌(LES)提前松弛使食物进入胃部,随后LES闭合以防止胃内容物反流至食管。
- 先天性ME的病因:
–特发性。
–发病机制不明,但推测源于食管迷走神经传入支配缺陷,导致食管无法响应食物机械刺激,从而引发蠕动功能障碍。
- 获得性ME的病因:
–特发性(最常见)。
–神经肌肉疾病:① 重症肌无力(MG):MG(局灶性或全身性)最为常见(占所有获得性ME病例的25%)。② 系统性红斑狼疮、肌病/肌炎、自主神经功能障碍(猫更常见)、多发性神经病(累及迷走神经)、肉毒杆菌中毒、糖原贮积病、肌营养不良、破伤风。
–可能与喉麻痹相关,因两者均涉及迷走神经的共同发病机制。
–胃肠道疾病:① 食管梗阻:肿瘤、寄生虫肉芽肿(狼尾旋线虫)、血管环畸形、狭窄、食管异物。② 食管炎。
–内分泌系统:肾上腺皮质功能减退症、甲状腺功能减退症。
–食管裂孔疝相关疾病:食管裂孔疝、胃食管套叠(多为ME的继发表现而非直接病因)。
–毒性反应:铅中毒、有机磷中毒。
–犬瘟热:因脱髓鞘所致。
–约25%的胸腺瘤猫伴发ME。
— LES功能障碍样综合征:吞咽触发时LES持续闭合。
1. 受影响的系统
- 胃肠道:反流、体重减轻、吞咽困难。
- 肌肉骨骼:虚弱、运动耐受不良。
- 神经肌肉:全身性神经肌肉疾病表现。
- 呼吸系统:吸入性肺炎、咳嗽。
03 病史
- 先天性ME:
–见于帕森罗素梗、春猎犬和短毛狐狸梗(常染色体隐性遗传),导致神经肌肉接头处乙酰胆碱受体缺乏或功能异常。
–迷你雪纳瑞犬中遗传(常染色体显性或常染色体隐性遗传,伴部分外显率)。
–大丹犬、德国牧羊犬、拉布拉多猎犬、纽芬兰犬、爱尔兰塞特犬、爱尔兰猎狼犬、中国沙皮犬及暹罗猫中发病率较高。
–杰克罗素梗犬的先天性肌无力。
- 获得性ME:
–特发性ME常见于5-12岁大型犬(无特定品种倾向)。
–多种全身性疾病可引发获得性ME,其中部分疾病存在品种易感性或遗传因素。
1. 风险因素
- 胃食管反流可能诱发食管炎。
- 食管异物可能导致食管狭窄。
- 接触有毒物质(铅、铊、抗胆碱酯酶药物、丙烯酰胺)。
- 寄生虫感染(狼尾旋线虫)引发食管肉芽肿,导致肉芽肿近端食管扩张。
2. 病史发现
- 反流(需与主人描述的呕吐区分):区分反流与呕吐至关重要。
- 流涎、吞咽困难。
- 咳嗽及鼻涕(伴吸入性肺炎)。
- 肌肉骨骼无力(伴神经肌肉疾病)。
- 食欲正常但体重下降。
04 临床表现
- 体格检查可能正常。
- 伴有吸入性肺炎的咳嗽和鼻涕。
- +/–身体状况差,伴有严重反流。
- 若扩张的食管内充满食物,偶见颈部腹侧肿胀。
05 鉴别诊断
- 呕吐与反流的区别:
–反流通常无或仅有轻微腹部参与。反流物可能为未消化食物、泡沫、粘液或三者混合。与进食时间无关。
–呕吐伴有主动腹部用力。可能含有消化后的食物残渣及胆汁。
- 因呼吸困难或喘息导致的吞气症可引发暂时性食管充气。肺炎患者的食管扩张可能继发于吞气症。真正的ME在吞气症状缓解后仍持续存在,需通过复查X光片确诊。
06 诊断
1. 全血细胞计数/生化/尿液分析
- 通常正常。
- 如果存在吸入性肺炎,可能会看到白细胞增多/左移现象。
- 血清肌酸激酶升高可能表明肌病。
- 金属盐皮质激素(阿狄森病)可能出现电解质紊乱。
- 红细胞的变化,如嗜碱性点状,可能增加铅中毒的怀疑。
2. 其他实验室检测
- 针对MG的乙酰胆碱受体抗体滴度。阴性滴度并不能排除重症肌无力。滴度在疾病早期可能为阴性,因此应在2-3个月后重复检测。
- 阿狄森病的基础皮质醇(促肾上腺皮质激素刺激,如果皮质醇<2微克/分升)。
- 甲状腺素(T4)、游离T4、促甲状腺激素用于甲状腺功能减退症。
- 铅水平(血液和尿液)。
- 有机磷中毒的血清胆碱酯酶水平。
- 犬瘟热抗体滴度。
3. 影像学检查
- 胸部X光片:食管弥漫性扩张。
- 食管可以充满空气、液体或食物。
- 连续的X光片有助于区分嗳气与ME:
–食管近端可能会看到局部扩张,尤其是在食管狭窄或肿块之前。
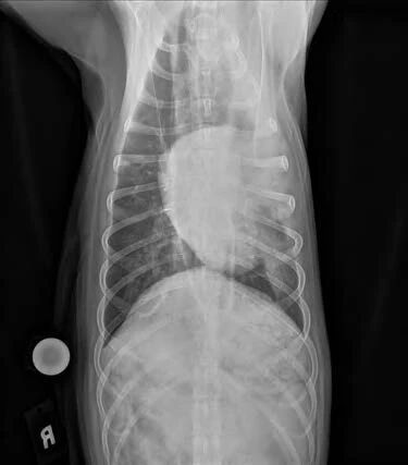
–如果存在吸入性肺炎,可见肺浸润(图1-2)。

图1. 侧面胸部X光显示食管扩张和吸入性肺炎。

图2. 腹背侧胸部X光显示食管扩张和吸入性肺炎。
–可能会看到气管偏移(侧面视图的腹侧偏移和腹背侧视图的侧面偏移)。
–纵隔肿块的存在应增加对与胸腺瘤相关的MG的怀疑(图3)。
–可能会看到膈疝和食管肿块。

图3. 侧位胸部X光显示纵隔肿块和巨食管。
- 钡餐/对比食道造影:
–可以给动物喂食钡液或浸钡的食物,以评估食道扩张、运动减少和结构异常(如狭窄或肿块)。
–视频荧光吞咽研究可以用于评估食团的形成及其进入食道(吞咽困难)和通过食道的过程(评估初级和次级蠕动)。
–新近的研究正在开发三角形停留房间(已获得专利),狗被引导进入封闭空间的狭窄端。这允许视频荧光研究在狗处于直立和极少约束的状态下进行吞咽评估,以便评估正常的吞咽行为。
–患有ME的狗有高风险发生吸入性肺炎,因此任何钡对比研究都应谨慎尝试,并在手术后密切监测动物。
4. 其他诊断性检查
- 食管镜检查:
–用于评估狭窄、肿块或其他阻塞性病变。
–在麻醉恢复期间应谨慎,因为吸入性肺炎的风险增加。
- 其他检测:
–在怀疑神经肌肉疾病的情况下进行电生理检查。
–肌肉和神经活检。
–磁共振成像用于怀疑颅内疾病的病例(+/−脊髓液抽取)。
–粪便检查:狼尾旋线虫。
5. 病理发现
- 无特征性的病理发现。
- 次于任何潜在的病因或并发因素的存在。
07 治疗
- 在管理ME狗时有两个主要目标。第一个是识别和治疗任何潜在原因。治疗潜在原因可能会解决ME,但很可能ME不会得到解决。第二个目标是尽量减少反胃的次数,从而希望减少吸入性肺炎的发生,并允许适当的营养摄入。
1. 首选药物
- 如果存在吸入性肺炎,则使用抗生素。
–理想情况下,应根据气管插管清洗或支气管肺泡灌洗的培养和敏感性选择抗生素。
–在多次出现吸入性肺炎后,抗生素耐药菌的风险增加。
- 胃酸阻滞剂用于治疗或减少食道炎的发生。奥美拉唑是一种质子泵抑制剂,已证明其在酸阻滞方面优于H2阻滞剂(法莫替丁、雷尼替丁、西咪替丁)。每12小时1 mg/kg口服。
- 促胃动力药的使用存在争议。
–优点:收紧LES,以帮助减少胃食管反流,从而减轻食道炎。
–缺点:收紧LES可能会增加吸入性肺炎的风险。
–美托洛普胺(0.2-0.4 mg,PO,q3.5h,饭前给药)。
–西沙比利(0.1 mg/kg,PO,q8-12h)。
–也可能有助于猫的胃肠动力障碍,影响食道远端三分之一的平滑肌。
- LES痉挛样综合症:当前有关于使用气囊导管和肉毒毒素疗法的研究。
- 针对潜在病因的治疗。
–溴吡斯的明。
–免疫抑制(霉酚酸酯,泼尼松)。
— MG,这是一种免疫介导的疾病,对于没有ME的MG病例,使用免疫抑制剂是适应症。在具有ME的MG犬中,使用免疫抑制剂可能会因吸入性肺炎的风险增加而带来问题。
- 甲状腺功能减退症:左旋甲状腺素。
- 阿狄森病:泼尼松,+/−去氧皮质酮新戊酸酯或氟氢可的松。
- 先天性特发性ME:使用西地那非已被证明可以改善临床症状和X线特征。西地那非是一种磷酸二酯酶-5抑制剂,可以放松平滑肌。其使用的基础是认为减少的LES张力将有助于摄入物进入胃中。
2. 注意事项/药物相互作用
- 如果反流妨碍药物进入胃部,口服药物的吸收可能不稳定。
- 在严重反流的情况下,注射形式可能更可取。
- 由于吸入性肺炎的风险,在使用免疫抑制剂时要谨慎。
3. 医疗护理
- 在适用时治疗潜在病因。
- 改变饲喂方式以帮助减少反流,这将有助于降低吸入性肺炎的发生率,并让动物获得足够的营养。
- 饲喂和饮水应采用抬高的姿势(距离地面45-90°),动物在进食后应保持直立15-20分钟。
- 可以构建一个贝利椅,以帮助动物舒适地保持直立(图4)。

图4. 一只狗在贝利椅上的照片。
- 如果通过直立喂养无法获得足够的营养,应考虑放置胃造口管。重要的是要教育客户,这并不能消除吸入性肺炎的风险,因为这些狗仍然会吐出泡沫和唾液。
- 放置食管镜管抽吸食管内容物也可能对持续反流的狗有帮助。
4. 护理
- 患有吸入性肺炎的狗可能需要补充氧气、静脉输液和静脉注射抗生素。
- 照顾不能移动的动物。让这些动物保持俯卧位有助于减少误吸。
5. 饮食
- 液体vs肉丸vs肉泥。不同的ME犬对不同的稠度有不同的反应。应鼓励饲主进行试验。
- 计算营养需求,以确保饮食中含有足够的热量。
6. 手术注意事项
- 手术适用于胸腺瘤、血管环异常和一些梗阻性病变或异物。
- 对于食管狭窄,可以尝试球囊扩张或支架置入。
