病例1
品种:田园犬
年龄:2.8岁
性别:雄
是否绝育:否
诊断:胆固醇酯贮积症

01 主诉及病史

因体重下降和肝肿大而转诊。既往检查提示肝肿大(下图)。

↑ 侧面X光影像,可见明显的肝肿大(肝脏轮廓用箭头标出)。

在6个月大时因角膜脂质沉积(下图)和上巩膜炎就诊。大约1年后,发现其体重下降和腹部膨胀。

↑ 角膜脂质积累。

02 检查

很瘦(体况评分2/9),有轻度肌肉流失。腹部膨胀,触诊怀疑有腹腔脏器肿大。血生化显示中度低白蛋白血症(23.2 g/L [30-41])、中度低胆固醇血症(2.0 mmol/L [3.7-9.8])和轻度高甘油三酯血症(1.25 mmol/L [0.29-1.17])。血清肝酶(丙氨酸氨基转移酶和碱性磷酸酶)、胆红素以及凝血(pT和aPPT)和血氨均正常。

腹部超声显示肝明显肿大,肝缘圆滑,回声增强,实质不均匀,伴有多个小的高回声灶。脾脏中发现多个低回声和不均一病变。还发现一个单一显著增大的腹部淋巴结,回声正常。

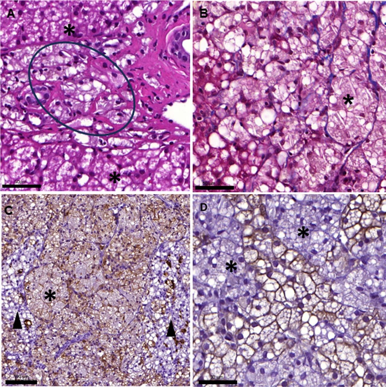
通过腹腔镜获取肝活检,组织病理学发现肝脏全叶严重脂肪变,表现为肝细胞细胞质中的光滑、圆形透明空泡化(下图A)。在肝间质和肝小叶中存在巨噬细胞的多灶性融合浸润,巨噬细胞细胞质中含有脂肪物质和胆固醇裂隙。巨噬细胞密集聚集在轻度纤维化包围的巢中(下图B)。巨噬细胞浸润在免疫组化染色下占据活检区域的一半(下图CD)。

↑ (A-D) 病例1和病例2的肝活检样本中获得的组织病理学图像。(A) 病例2肝细胞中度脂肪变性(*),含脂肪的巨噬细胞的间质和小叶巢(圈)。(B) 病例1脂肪和胆固醇充填巨噬细胞的浸润(*),辅以细纤维胶原(蓝色)。左下角有一小块残余肝实质,显示脂肪变性。(C) 病例1巨噬细胞浸润广泛。Iba-1阳性的结节性、扩张性灶内,富含泡沫细胞质的巨噬细胞(*)可见于分隔的肝索之间(箭头),单个库普弗细胞阳性染色。(D) 病例2肝细胞为细胞角蛋白阳性,位于巨噬细胞巢之间(*)。

03 治疗及预后

接受了低脂饮食和肝脏支持治疗(熊去氧胆酸抗氧化剂)。在为期一年的随访期间,体重减轻和肝肿大逐渐加重,血清白蛋白降低(20.6 g/L [30–41])。

在3.7岁时,丙氨酸氨基转移酶轻度升高(83 U/L [18–77]),天冬氨酸氨基转移酶中度升高(228 U/L [17–54]),但胆红素正常。

这只狗因嗜睡、消瘦、腹部逐渐膨胀和慢性腹泻,于4.1岁时被安乐死。

病例2
品种:田园犬
年龄:7个月
性别:雌
是否绝育:否
诊断:胆固醇酯贮积症

04 主诉及病史

一个月前因角膜混浊就诊,一个月后因腹泻和体重下降再次就诊。

05 检查

血生化显示轻度低白蛋白血症(25 g/L [28–43]),胆固醇低值(3.6 mmol/L, [3.6–10.3]),肝酶升高(丙氨酸氨基转移酶224 U/L [25–122];碱性磷酸酶652 U/L [14–147];天冬氨酸氨基转移酶270 U/L [14–59])。

腹部超声发现显著肝肿大,并通过超声引导下经皮穿刺活检获得了肝活检。组织病理学检查结果显示肝脂肪变性,与病例1相类似,肝脏实质和间质中中度浸润了含脂肪和胆固醇的巨噬细胞

06 治疗及预后

接受了低脂饮食和肝脏支持治疗(熊去氧胆酸)。

在随访过程中,发展为慢性小肠腹泻和进行性体重下降,并在2.1岁时因消耗症、无精打采和显著的肝脾肿大而被安乐死。

在安乐死时,发现中度低白蛋白血症(19.8 g/L [30–41])、轻度低胆固醇血症(3.4 mmol/L [3.7–9.8])、轻度高甘油三酯血症(1.33 mmol/L [0.29–1.17])以及轻至中度肝酶升高(碱性磷酸酶172 U/L [<95];丙氨酸氨基转移酶238 U/L [18–77];天冬氨酸氨基转移酶162 U/L [17–54]),但胆红素和氨的水平正常。

07 尸检

在尸检中,两只狗均表现出极度肝肿大(下图A,病例1肝脏5.6千克,占体重27%;病例2肝脏3.6千克,占体重24%)、脾肿大、角结膜炎伴有疑似角膜缘脂质沉积,以及严重的全身性淋巴结肿大(下图B)。

↑ (AB) 病例2的尸检图像,显示出明显肝肿大(A)和肠系膜淋巴结肿大(B)。

组织学上,含有胆固醇和脂肪的巨噬细胞多灶性或聚集性堆积存在于肝脏和脾脏的间质和实质中。淋巴结的结构受到众多脂肪巨噬细胞的严重影响。类似的巨噬细胞聚集在肺部的胸膜下和支气管周围,肠道固有层,肾上腺皮质和骨髓中也有所发现。在心肌、脉络丛、表层角膜和眼球睫状体内,存在稀疏的小型巨噬细胞浸润,内含脂肪和胆固醇。在真皮中,血管周围存在散在的单个巨噬细胞,具有类似的细胞质。伴随在胃肠道粘膜、脉络丛、心脏和角膜中积聚的巨噬细胞,有轻度至中度的慢性淋巴浆细胞炎症。

从静脉EDTA血液中测定了溶酶体酸性脂肪酶(LAL)活性。在病例1、2及四只健康对照犬中测定了LAL活性。与健康对照犬相比,病例1、2的LAL活性显著降低(病例1为6.7 μmol/L/h,病例2为5.8 μmol/L/h),而健康对照犬的中位值为143.2 μmol/L/h。病例1、2的LAL活性均低于人类LAL缺乏症的诊断阈值(<30 μmol/L/h)。

采集了肝组织样本,进行了脂质组学分析,结果发现两只犬的血浆中总脂质及胆固醇酯水平显著降低,而肝脏中总脂质和胆固醇酯水平显著升高

08 讨论

胆固醇酯贮积症(Cholesterol Ester Storage Disease,CESD)是一种罕见的遗传性溶酶体贮积症,由溶酶体酸性脂肪酶(LAL)活性降低引起。LAL是细胞内脂质代谢的关键酶,其缺乏会导致胆固醇酯等脂质无法正常分解和利用,并在肝脏、脾脏、骨髓等多个器官中积累。

在人类中,LAL缺乏会导致从婴儿期发病的严重Wolman病到晚发型的CESD等多种临床表现。CESD患者通常有低密度脂蛋白胆固醇升高、肝脏肿大、脾脏肿大等症状,且随着病情进展可能出现肝纤维化、肝硬化等严重并发症。在犬中,CESD较为罕见,此前仅有少数病例报道。

本报告中的两只田野犬均表现出典型的CESD临床症状。两只犬均在6个月大时出现角膜脂质沉积,随后出现进行性肝脾肿大和体重减轻。此外,两只犬还出现了慢性小肠腹泻,这可能是由于小肠内脂质吸收不良导致的。

在血液生化检查中,两只犬均出现低白蛋白血症和低胆固醇血症,这与人类CESD患者常见的高胆固醇血症有所不同。肝脏活检结果显示,两只犬的肝脏均存在严重的肝细胞泛小叶脂质沉积,以及含有脂肪和胆固醇的巨噬细胞在肝间质和肝小叶内的浸润

通过对两只犬的LAL活性检测发现,其LAL活性显著低于正常犬,与人类CESD患者相似。这进一步支持了CESD的诊断。在脂质组学分析中,发现两只犬的血浆中总脂质及胆固醇酯水平显著降低,而肝脏中总脂质和胆固醇酯水平显著升高。这表明在LAL缺乏的犬体内,细胞内胆固醇的分解和释放机制受损,导致脂质在细胞内积累,而外周循环中的脂质浓度降低。

此外,两只犬的血清中肝酶活性正常或轻度升高,而白蛋白水平降低,但未见明显的肝功能障碍,这与人类CESD患者的临床表现有所不同。

总之,本报告描述了两只田野犬的CESD病例,包括临床表现、LAL活性测定、脂质组学变化以及病理学发现。这些病例进一步丰富了犬CESD的临床资料。与人类CESD相比,犬CESD在临床表现和实验室检查结果上存在一些差异,如低胆固醇血症和相对正常的肝功能。这些差异可能与犬的生理特点和疾病进展过程有关。未来需要更多的研究来确定犬LAL活性的正常参考范围和CESD的诊断阈值,并进一步探索犬CESD的遗传背景和病理生理机制。

文献来源:Syrjä P, Ylenius MMH, Kråkström M, Dickens AM, Rautala E, Huupponen A, Eriksson A, Viitanen SJ. Cholesterol Ester Storage Disease in Two Field Spaniels With Lysosomal Acid Lipase Deficiency. J Vet Intern Med. 2025 Sep-Oct;39(5):e70223.

发表回复

您的电子邮箱地址不会被公开。 必填项已用 * 标注