
| 一般情况 | |
![]() | 品种:斑点狗 |
| 年龄:3岁 | |
| 性别:雄 | |
| 是否绝育:是 | |
| 诊断:威尔逊病 | |
01 主诉及病史
因偶尔呕吐、间歇性厌食、倦怠、抑郁和不适在当地就诊。
血液学和血生化结果显示ALP升高至534 U/L [20-150],ALT升高至859 U/L [10-118],白细胞轻度增多(17.9×10^3/µL [6-17]),中性粒细胞成熟增多(15.38×10^3/µL [3-12])。腹部X光显示胃部气体扩张。怀疑存在异物梗阻,因此建议转诊。
02 检查
腹部超声未发现异物。肝脏实质呈斑驳状,但大小正常。胆囊和胆道未见异常。膀胱内存在小结石(2-3毫米),当时出院。
两天后因出现神经症状再次就诊,包括撞墙、共济失调和跌倒。患者精神萎靡,对听觉或视觉刺激无反应。其他症状包括四肢瘫痪、一般性本体感觉共济失调、偶尔轻微的前庭共济失调、异常肢体姿势(外展、交叉或外旋)以及四肢的踏步反射减弱(前肢轻微,后肢明显)。患者在检查过程中抵抗侧卧和仰卧。
住院期间,精神状态在萎靡和嗜睡之间交替,并随后出现双侧瞳孔散大、感觉过敏和前肢偶尔的屈膝。
血生化显示:BUN轻度降低(5 mg/dL [7-27]),ALT升高(713 U/L [0-125]),ALP升高(642 U/L [23-212])。ACTH刺激试验显示基础皮质醇水平正常(4.2 µg/dL [1-5]),刺激后轻度偏低(6.5 µg/dL [8-17])。氨水平正常(16 µmol/L [0-98])。餐前和餐后胆汁酸升高(餐前149.5 µmol/L [0-6.9];餐后280.6 µmol/L [0-14.9])。
开始接受泼尼松、强力霉素、磺胺甲噁唑、S-腺苷甲硫氨酸和谷胱甘肽补充治疗。治疗后,ALT和ALP有所下降但仍处于升高状态(ALT 558 U/L,ALP 419 U/L)。
住院4天后,患者被转诊至神经科专科中心。此时的体格检查和神经学检查结果未见变化。神经解剖学定位怀疑存在颈椎脊髓或延髓功能障碍。
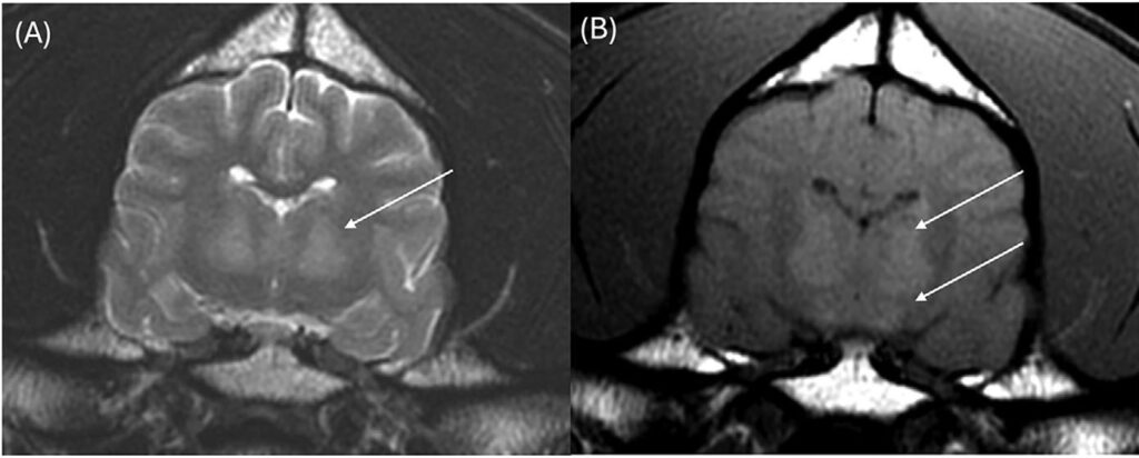
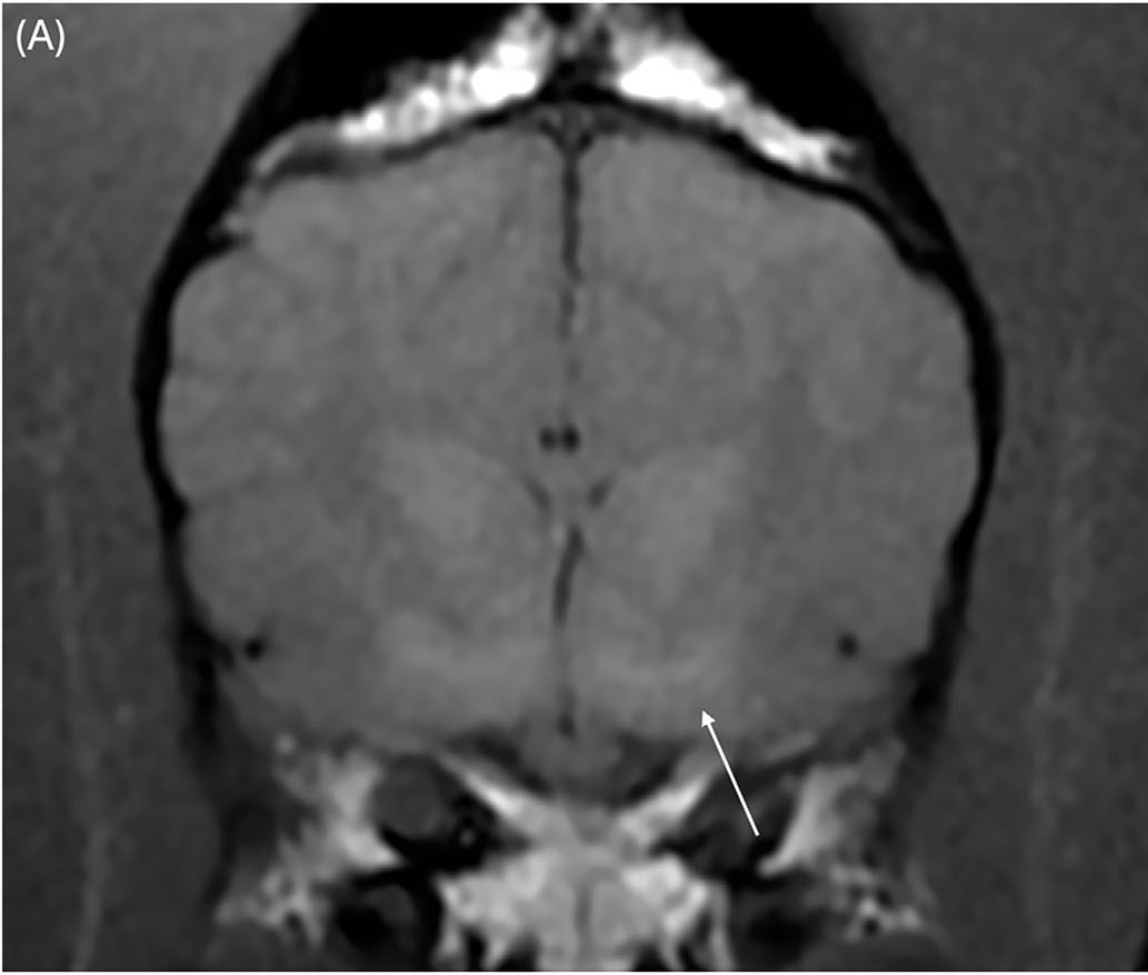
颈椎MRI图像大多未见异常,仅显示颈椎间盘纤维环的轻度非压迫性突出。脑部成像显示双侧对称、边界不清的T2和T2-FLAIR高信号,影响丘脑(图1A)、内侧和外侧膝状体(图2A)、导水管周围灰质和红核(图2A)。在双侧豆状核(图3A)、丘脑(图1B)和膝状核(图2B)内可见T1高信号。这些病变未显示对比增强。未在任何可见的骨或软组织结构中发现异常。

图1. 丘脑核(白色箭头)中可见双侧对称、边界不清的T2(A)和T1(B)高信号。

图2.(A)内侧和外侧膝状体区域(白色圆圈)及红核区域(白色箭头)可见双侧对称、边界不清的T2高信号;(B)内侧和外侧膝状体区域(白色圆圈)可见双侧对称、边界不清的T1高信号。

图3.(A)豆状核(白色箭头)中可见双侧对称、边界不清的T1高信号。
这些发现提示为代谢性、毒性或退行性过程。由于怀疑存在潜在的肝病,优先考虑代谢功能障碍(如与铜相关的肝病——威尔逊病)或肝中毒,而不是神经退行性过程(如亚急性坏死性脑脊髓病——莱氏综合征)。收集了小脑延髓池脑脊液样本进行分析,结果正常。
进行了超声引导下的肝脏活检和代谢检测。组织病理学显示严重的铜积累,表现为小叶性肝炎,特征为明显的、广泛的、多灶性、慢性的淋巴组织细胞性中央小叶性肝炎,伴有明显的铜积累、中央-中央桥接纤维化、轻度中央小叶分离纤维化、铜肉芽肿、中央小叶塌陷和再生结节。中度淋巴细胞性小叶性肝炎伴有单个坏死肝细胞,提示存在免疫介导的反应。
数字铜定量检测显示铜水平显著升高,为3052 µg/g干重(正常值<400)。罗丹明组织化学染色显示严重的肝细胞铜积累(罗丹明评分为5分中的4分)。
03 治疗
患者被诊断为威尔逊病,并开始接受铜螯合治疗(D-青霉素胺)、磷脂酰胆碱和限制蛋白饮食。
04 预后
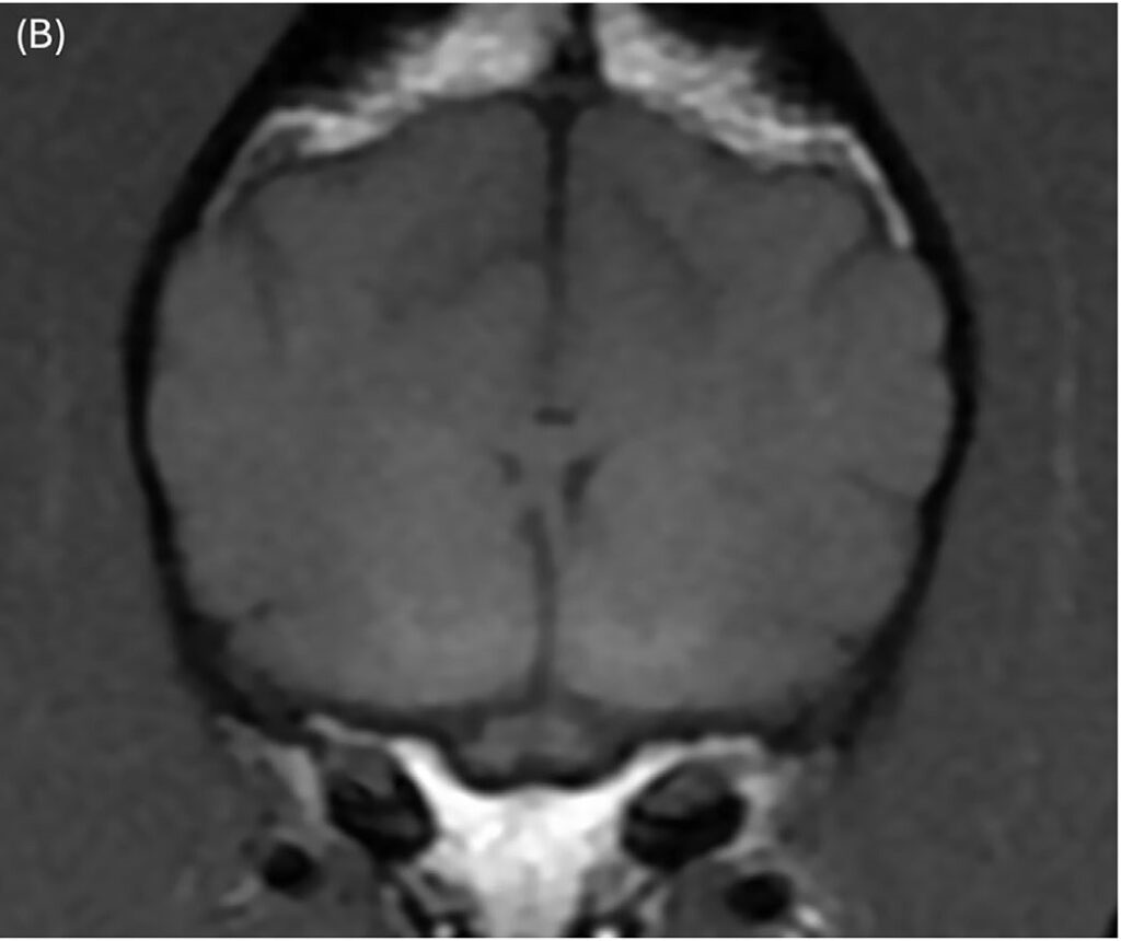
在开始铜螯合治疗后大约7个月,患者在家恢复良好,所有临床症状均已消失。体格检查和神经学检查结果正常,肝酶水平已恢复正常。再次进行了脑部MRI检查。
与治疗前相比,先前注意到的T2和T2-FLAIR高信号区域都有显著改善。在丘脑(图4C)、内侧和外侧膝状体以及红核中仅见非常轻微的双侧对称、边界不清的T2高信号(图5C)。先前注意到的豆状核中的T1高信号区域已完全消失(图6B)。

图4.(C)铜螯合治疗开始7个月后,丘脑核的T2高信号明显改善。

图5.(C)铜螯合治疗开始7个月后,内侧和外侧膝状体区域及红核区域的T2高信号明显改善。

图6.(B)横断面T1加权图像显示,在铜螯合治疗开始7个月后,豆状核中的双侧病变已完全消失。
05 讨论
威尔逊病(Wilson’s disease)是一种罕见的常染色体隐性遗传性疾病,由ATP7B基因突变引起,导致铜在肝脏和其他组织(尤其是大脑)中异常积累。在人类中,威尔逊病的临床表现多样,从无症状到严重的肝病、神经症状和精神异常。肝脏受累可表现为肝酶升高、急性肝衰竭、慢性肝衰竭和肝硬化。神经症状主要由铜沉积引起的神经细胞损伤所致,表现为水肿、坏死和海绵样变性。
常见的神经表现包括运动障碍(如言语不清、肌张力障碍、帕金森病症状)和小脑功能障碍。此外,患者还可能出现精神异常,这些症状可能在肝病和其他神经症状出现之前就已存在。
在犬中,铜中毒性肝病是一种已知的病理状态,可能由肝脏铜代谢的原发性代谢缺陷(类似于人类的威尔逊病)或铜的胆汁排泄异常引起。某些犬种(如贝灵顿梗)被记录有铜相关的肝病,而斑点狗也存在铜相关肝病的报道,但此前尚未有神经症状的记录。
本病例中,3岁斑点狗的诊断基于MRI发现和肝脏活检中铜相关肝病的存在。MRI显示双侧对称的T2和T2-FLAIR高信号,主要影响丘脑、内侧和外侧膝状体、红核,以及双侧T1高信号的豆状核和丘脑,提示潜在的代谢功能障碍。肝脏活检显示严重的铜相关肝炎,铜含量显著升高,支持威尔逊病的诊断。铜螯合治疗后,临床症状和MRI改变均显著改善。
在本病例中,肝性脑病是重要的鉴别诊断之一。肝性脑病通常发生在患有先天性血管异常(如门体分流)的犬中,也可能发生在导致门静脉高压或急性肝衰竭的肝病中。本病例中,临床症状在神经症状出现前仅3周出现,且由于疾病进展迅速且病因不明,急性肝衰竭是一个重要考虑因素。
MRI特征包括脑萎缩、双侧对称的T2和T2-FLAIR高信号病变,影响灰质和白质,以及双侧对称的豆状核T1高信号。然而,本病例在治疗前的MRI中未显示脑萎缩或白质病变,且未出现高氨血症,这与肝性脑病的病理生理学不符。
威尔逊病的MRI表现已在人类文献中描述,由大脑铜积累和继发性神经细胞损伤引起,包括水肿、坏死和海绵样变性。常见的MRI表现为双侧对称的深灰质信号改变,通常在T2W和T2-FLAIR图像上表现为同心层状高信号。人类威尔逊病中常见的受累脑结构包括豆状核、丘脑、尾状核、中脑和脑桥。双侧基底节在T2W和T1W图像上出现异常高信号是威尔逊病的重要MRI表现。
本病例中,患者在丘脑显示双侧T2和T1高信号,但仅豆状核显示T1高信号。T1高信号可能是由于铜积累所致,这在犬肝性脑病中也有报道,是由于锰在豆状核的积累所致。
人类威尔逊病的特征性MRI表现为“大熊猫脸”征,仅在少数患者中出现。这一征象是由于中脑的高信号与红核、黑质外侧和上丘的斑块形成对比。在兽医患者中,背侧成像平面最接近人类的轴位成像平面,可能是观察到“大熊猫脸”征的位置。然而,本病例在治疗前未进行背侧T2W序列检查,且在治疗后的背侧T2W序列中未观察到该征象。
此外,患者在红核存在双侧T2高信号,因此即使在初次MRI时进行背侧T2W序列检查,也可能不会出现该征象。这可能代表了犬威尔逊病在MRI表现上的物种特异性差异。
总之,本病例首次在兽医文献中描述了一只年轻犬因严重的铜相关肝病(威尔逊病)而出现独特的MRI表现,并记录了铜螯合治疗后临床症状和MRI改变的显著改善。威尔逊病应被考虑为患有肝病、神经症状和双侧对称深灰质病变的犬类的鉴别诊断之一。
文献来源:Durant N, Paek M, Mai W. Case Report: MRI Diagnosis of Wilson’s Disease in a 3-Year-Old Dalmatian. Vet Radiol Ultrasound. 2025 Sep;66(5):e70087.
