
| 一般情况 | |
![]() | 品种:贵宾犬 |
| 年龄:12岁 | |
| 性别:雄 | |
| 是否绝育:是 | |
| 诊断:腹膜后肉瘤 | |
01 主诉及病史
因2个月的厌食、嗜睡和腹部膨隆被转诊。
02 检查
体重17.7公斤,体况评分2/5。血液检查显示肾功能正常,无贫血迹象。尿液分析显示蛋白尿(30mg/dL),比重为1.028,未发现其他异常。X光和超声检查发现前腹腔内有一个大肿块。
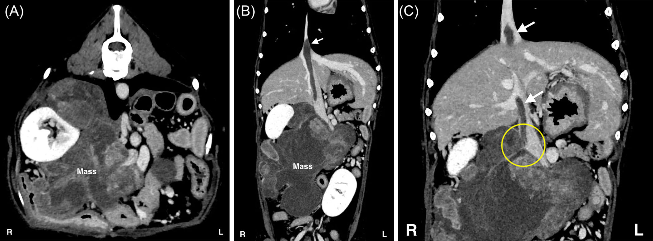
CT显示一个直径约15厘米的巨大肿块,从肝脏的尾侧压迫腔静脉,并影响右肾、右肾动脉和静脉(下图)。右侧肾上腺未被识别。CT血管造影显示肿瘤内部对比度增强较低,三相增强CT未见明显变化。还发现一个从右侧膈下腹静脉附近延伸至膈肌以上胸腔腔静脉的腔静脉血栓。

↑ 术前CT结果。(A)轴位图像。(B)冠状位图像。(C)冠状位图像突出显示腔静脉血栓的起源。在右侧肾上腺区域观察到一个巨大的肿块,从肝脏的尾侧压迫腔静脉,并累及右肾、右肾动脉和静脉。右侧肾上腺无法识别。肿瘤在CT血管造影中表现为低对比度增强,三相增强CT未见明显变化。腔静脉血栓(白箭头)起源于右侧膈下腹静脉(黄圈),并向头侧延伸至膈肌以上进入胸腔腔静脉。
促肾上腺皮质激素刺激试验显示刺激前后的血皮质醇水平分别为2.3和14.8μg/dL [1.0–6.0]。血浆儿茶酚胺分数如下:肾上腺素73pg/mL [<100];去甲肾上腺素573pg/mL [<450];多巴胺71pg/mL [<20]。
根据CT结果,考虑到巨大肿块的解剖位置,怀疑为带有腔静脉血栓的嗜铬细胞瘤。由于预计肿瘤会侵犯或粘连于周围组织,因此从周围组织中分离肿瘤可能会延长腔静脉阻断所需的时间。由于必须切除右肾,保护左肾功能至关重要。因此,计划采用VVB(静脉-静脉旁路)以确保在腔静脉阻断期间进行安全的手术操作。
03 治疗
在首次就诊后的第6天,在获得主人同意后,进行了腹部肿块的完全切除。
麻醉方案包括皮下注射1.0mg/kg泼尼松龙、1.0mg/kg马罗吡坦柠檬酸水合物和5.0μg/kg芬太尼盐酸盐。通过静脉注射丙泊酚诱导全身麻醉,并用七氟醚维持。
术中持续输注:多巴胺2.5–5.0μg/kg/min、多巴酚丁胺2.5–5.0μg/kg/min、卡前列素0.05μg/kg/min,用于术中循环支持;瑞芬太尼10–40μg/kg/h和利多卡因50μg/kg/min,用于术中镇痛。整个手术过程中持续输注那法莫司他甲磺酸盐0.2mg/kg/h。为了管理术中低血压,根据需要进行去甲肾上腺素的持续输注。
在全麻下,犬被置于仰卧位。采用梅赛德斯切口(包括中线前腹壁切开术和双侧肋缘切开术)以接近肿块。为了充分暴露肿块,还进行了后侧中线胸骨切开术和膈肌中线切开术。
发现肿块与十二指肠韧带和胰腺右叶粘连(下图)。它还从肝脏的尾侧牢固附着到右肾的尾侧,沿着腔静脉有广泛的粘连。在右侧股三角区做一个小切口以分离股动脉和静脉。将一根6-Fr导管置入股动脉,用于术中动脉血压监测。

↑ 术中发现。巨大的肿块(*)被发现与十二指肠韧带(白箭头)和胰腺右叶粘连。
在颈部做一个额外的小切口以分离右侧颈静脉。将一根预先充满生理盐水的Anthron旁路管插入右侧股静脉,另一根充满生理盐水的旁路管以类似方式置入右侧颈静脉。然后将这两根管连接形成一个单一通道,从而在股静脉和颈静脉之间创建一个临时的腔静脉旁路(下图)。

↑ 在右侧颈静脉和股静脉之间建立静脉-静脉旁路。一根预先充满生理盐水的Anthron旁路管被插入右侧股静脉(白箭头),另一根充满生理盐水的旁路管以类似方式被置入右侧颈静脉(黑箭头)。然后将这两根管连接形成一个单一通道,从而在股静脉和颈静脉之间创建了一个临时的腔静脉旁路。
本例中使用的Anthron旁路管是一个锥形管,长度为60厘米,两端外径均为4毫米。在肿块尾侧的腔静脉上应用止血带(1号),在其阻断后,仔细将肿块从腔静脉分离至左肾静脉水平(下图)。

↑ 从腔静脉(CVC)的尾侧分离肿块的尾侧。(A)术中发现。(B)示意图。(A)的右上角图像显示在止血带(1号)收紧时从腔静脉分离肿块(*)。止血带(1号)收紧后,对整个肿块(*)进行了大体检查,并小心地从腔静脉分离至左肾静脉的头侧。Ad,肾上腺;HA,肝动脉;LRV,左肾静脉;LPaV,左侧膈下腹静脉;PV,门静脉;VVB,静脉-静脉旁路。
右侧输尿管被结扎并切断。随后依次应用了三个止血带:(2号)在左肾静脉头侧的腔静脉上,(3号)在肝门的Glisson囊周围以阻断肝动脉和门静脉流入,(4号)在血栓头侧的胸腔腔静脉上(下图)。

↑ 用于从腔静脉(CVC)分离肿块的止血带(1–4号)的应用位置。(A)术中发现。(B)示意图。止血带依次阻断血流的顺序如下:左肾静脉和膈下腹静脉头侧的腔静脉(2号)、Pringle操作(3号)和胸腔腔静脉(4号)。随后释放位于肿块(*)尾侧的腔静脉上的止血带(1号)。在这些阻断期间,通过静脉-静脉旁路(VVB)维持左肾的静脉回流,如(B)中黄色箭头所示。然后在靠近右侧膈下腹静脉的腔静脉处切开以移除腔静脉血栓。Ad,肾上腺;HA,肝动脉;PV,门静脉。
然后释放最初放置的止血带(1号),并依次收紧三个止血带,顺序为:左肾静脉头侧、Pringle操作、腔静脉血栓头侧。这些血管阻断结合VVB不仅用于在血栓移除过程中尽量减少出血,还用于通过VVB将左肾的静脉回流保留至右侧颈静脉。
在腔静脉被夹闭时,在靠近右侧膈下腹静脉的腔静脉处做一个切口。在肝脏和腔静脉切口之间放置一个新的止血带(5号),并通过腔静脉切口移除腔静脉血栓(下图)。在从腔静脉移除血栓后,收紧新的止血带(5号)。用于Pringle操作(3号)和胸腔腔静脉(4号)的止血带均被释放。

↑ 腔静脉血栓的手术切除。在靠近右侧膈下腹静脉的腔静脉切开后,在肝脏和腔静脉切口之间放置了一个新的止血带(5号)。随后从腔静脉切口处移除了腔静脉血栓(白箭头)。
在右肾动脉、静脉和输尿管被结扎和切断以及右侧膈下腹静脉也被切除后,将肿块从周围组织包括腔静脉中分离。肿块与右肾和血栓一起被完整切除。
腔静脉采用5-0聚丙烯线以连续缝合模式进行重建。随后释放位于肿块头侧(5号)和尾侧(2号)的止血带,腔静脉恢复正常血流且无出血(下图)。

↑ 带腔静脉血栓的肿瘤切除及腔静脉(CVC)重建。(A)术中发现。(B)示意图。在从腔静脉移除血栓后,立即使用止血带(5号)阻断肝后腔静脉,如B所示。随后释放止血带(3和4号),允许门静脉和肝动脉血液灌注肝脏并通过肝静脉流入腔静脉。右肾静脉(黑箭头)被结扎和切断,从而能够将涉及右肾的肿瘤整块切除。腔静脉的切开部位(白箭头)随后采用5-0聚丙烯线进行连续缝合重建。图A右上角显示了连续缝合的重建情况。重建后,释放剩余的止血带(2和5号),未见出血。Ad,肾上腺;HA,肝动脉;PV,门静脉;VVB,静脉-静脉旁路。
为了终止静脉-静脉旁路,首先将连接的旁路管从右侧股静脉中撤出,并对静脉切开的近端和远端进行结扎以达到止血效果。然后将管抬高,使残留的血液通过重力流入右侧颈静脉,之后将其从颈静脉中移除,并以类似方式对静脉切开进行结扎。最后重建膈肌,放置胸腔引流管,并常规关闭尾侧中线胸骨切开术切口,随后常规关闭腹部切口。
为了提供额外的术后镇痛,采用超声引导在六个部位进行椎旁阻滞,分别在第九、第十一和第十三胸椎水平的两侧,布比卡因的剂量为每部位0.25mg/kg。
手术过程中未观察到重大并发症,从皮肤切开开始到腹部关闭结束的手术时间为161分钟。在手术过程中,Pringle操作的时间为4分钟8秒,腔静脉夹闭时间为44分钟43秒。总围手术期输血量为200毫升。
在左肾静脉尾侧腔静脉阻断前后,平均动脉血压未发生显著变化。在进行Pringle操作的4分钟8秒期间,平均血压降至33 mmHg。然而,在解除Pringle操作后,平均血压升至51 mmHg。
为了移除巨大肿块,继续对肝脏尾侧和左肾头侧的腔静脉进行阻断。以1μg/kg/min的速率持续输注去甲肾上腺素,维持平均血压在50–73 mmHg之间。在解除所有血管夹后,平均动脉血压为65 mmHg。犬在术后恢复意识,未出现任何意外。
组织病理学检查显示,巨大肿块为腹膜后肉瘤。肿瘤重953克,最大直径为16.5厘米,体重比为5.5%(下图)。肿瘤内部有广泛的出血和坏死。肿瘤累及右侧肾上腺,组织病理学检查确认其侵犯肾上腺组织并浸润肾周脂肪。腔静脉内的肿块长度为8.4厘米,起源不明,主要由结缔组织构成,细胞成分极少。

↑ 切除的涉及右肾的肿块。肿瘤重953克,最大直径为16.5厘米,体重比为5.5%。
04 预后
术后第1天(POD1),总体状况稳定。血尿素氮和血清肌酐等肾功能指标均未见升高。凝血参数仅出现短暂的术后变化。术后至POD1期间,通过多巴胺和多巴酚丁胺输注(各2.5μg/kg/min)维持血压。在此期间密切监测尿量,保持在约2–4mL/kg/h,与输液量一致。芬太尼和利多卡因的持续静脉输注在POD1停止。
POD2时,仍保持稳定,未出现疼痛相关症状或呼吸功能障碍,胸腔引流管被移除。开始给予少量食物,并在POD3停止支持性静脉输液治疗。
POD13时,恢复到术前的进食量和活动水平。激素检测显示血皮质醇水平为0.7μg/dL,ACTH刺激试验后值为7.0μg/dL。术后皮质醇水平未见异常。
POD20出院。血液检查显示肾功能正常。
出院后,未观察到与手术相关的长期并发症。术后恢复顺利,未见临床症状。
术后1年,电话随访确认犬仍保持良好状态。胸部X光和腹部超声未发现复发或转移的迹象。
05 讨论
本病例涉及的疾病为广泛性腹膜后肉瘤(RPS)伴腔静脉瘤栓。RPS是一种罕见的犬肿瘤,具有局部侵袭性强和远处转移率高的特点,肿瘤相关死亡率高达70%~92.9%,中位生存时间仅为37.5~168天。本病例中肉瘤似乎起源于肾上腺,且肿瘤广泛生长,导致RPS的形成,这在犬中尚未有相关报道。
本病例中,肿瘤的切除不仅需要移除肿瘤和相关的腔静脉瘤栓,还需要在腔静脉上进行长时间、精细的分离,因为肿瘤广泛侵入周围组织。术前预估到需要长时间阻断腔静脉以完成肿瘤分离。
在人类医学中,肝切除术中阻断下腔静脉会导致术中上腔静脉压力和收缩动脉压下降。在本病例中,通过将止血带从左肾静脉的远端移动到近端,暂时保留了左肾的静脉引流。然而,持续阻断左肾静脉近端的腔静脉会增加后肢静脉压力,阻碍左肾的血液回流,可能导致肾功能障碍。
在人类患者中,半阻断下腔静脉与术后急性肾衰竭有关。在本病例中,考虑到肿瘤切除后需要进行同侧肾的整块切除,术中措施对于降低肾衰竭风险至关重要。静脉-静脉旁路(VVB)的使用有助于在长时间腔静脉阻断期间维持血流动力学稳定,从而支持肾灌注。
基于这些发现,在类似病例中,建议在腔静脉阻断期间使用VVB进行术中循环支持,以维持对侧肾的灌注并帮助保留残余肾功能。然而,VVB技术要求高,且会增加手术成本。VVB可能并不适用于所有需要临时腔静脉阻断的病例。需要进一步研究以建立其适用标准。
本病例中,尽管腔静脉广泛受累,但CT未显示腔静脉与奇静脉之间存在侧支循环。以往的实验研究表明,逐渐阻断肾上腺上腔静脉可以促进侧支通路的形成,从而预防与静脉淤血相关的并发症,如后肢水肿或腹水。
当存在这种侧支循环时,可以不使用VVB完成涉及腔静脉的肝脏或肾上腺肿瘤的整块切除。然而,本病例中缺乏侧支循环表明,在没有使用VVB的情况下,安全地保留腔静脉进行肿瘤切除是不可行的。
此外,肿瘤对周围组织有明显的侵袭性,术前影像学检查表明,从腔静脉分离肿瘤将是一个耗时的过程。尽管在右膈下腹静脉水平进行腔静脉切开以移除瘤栓在技术上是可行的,但该手术最终需要44分43秒的临时腔静脉阻断。
尽管腔静脉阻断的最大安全时间尚未明确,但长时间中断肝脏与肾脏之间的静脉回流可能会带来肾损伤的显著风险。本病例可能突显了VVB在实现广泛侵袭性肾上腺肿瘤伴相关腔静脉瘤栓的安全有效切除中的临床价值。
此外,本病例中使用的Anthron旁路管外径为4毫米,适用于颈静脉和股静脉直径超过此尺寸的犬。因此,其在小型犬中的应用受到限制,因为这些犬的血管直径可能不足以容纳该装置。因此,可能需要通过超声或CT等影像学检查对静脉直径进行术前评估,以确定其适用性。
该管由肝素化亲水材料制成,可连续释放少量肝素长达16小时,从而降低管腔内微血栓形成的风险。然而,该旁路管最初是为人类医学设计的,用于在全胰切除术中建立门静脉和股静脉之间的旁路,或在肝移植中建立门静脉和下腔静脉之间的旁路。因此,它目前仅以60厘米的标准长度商业销售。
在本病例中,需要连接两根管子以桥接股静脉和颈静脉,从而增加了手术成本。因此,开发适合小型动物患者解剖需求的小直径、长长度的旁路管是必要的。
至于围手术期管理,本病例中使用了泼尼松龙作为术前给药。这种药物不仅用于预防单侧肾上腺切除术相关的短暂皮质醇抑制,还用于减少广泛手术中的出血性休克和术后低血糖风险。然而,这种给药的合理性仍存在争议。
在手术过程中,使用了包括多巴胺、去甲肾上腺素和苯肾上腺素在内的正性肌力药物,以维持血流动力学稳定,以应对预期的失血和VVB的使用。还使用了卡前列素以保护肾功能。它已在大鼠的实验性缺血模型和狗的临床研究中显示出肾脏保护作用,但在人类患者中进行腹部主动脉瘤修复的研究中,其证据仍然有限。还需要进一步研究以评估这些药物在类似临床病例中的疗效和最佳应用。
总之,本病例是首次报道在临时腔静脉阻断期间使用VVB技术,成功完成了广泛性肾上腺RPS的整块切除,包括同侧肾脏和腔静脉瘤栓,并修复了腔静脉切口。VVB可能是维持血流动力学稳定和减少复杂肿瘤手术中出血的有价值技术,尤其是在需要临时腔静脉阻断的情况下。
文献来源:Heishima T, Ishigaki K, Ueda T, Kagawa Y, Iida K, Takeuchi R, Asano K. Planned en bloc resection using veno-venous bypass for an extensive retroperitoneal sarcoma with a caval thrombus in a dog. Vet Surg. 2025 Sep 18.
