一般情况
品种:英国长毛猫
年龄:6个月
性别:雄
是否绝育:否
诊断:猫传染性腹膜炎

01 主诉及病史

因急性发作的神经系统症状、眼部变化和腹部膨胀就诊。

与其他猫一起生活在室内。

02 检查

精神萎靡、背腹弯曲、严重的双侧葡萄膜炎、活跃的脉络膜视网膜炎、轻度共济失调以及一次自限性的全身性强直-阵挛性发作。

全血细胞计数和血生化显示α1-酸性糖蛋白(AGP)(4966 µg/ml)和血清淀粉样物质A(SAA)(80.6 mg/l)升高,提示猫传染性腹膜炎(FIP)

腹部超声显示全身性淋巴结肿大和大量浆液性腹水。腹部穿刺液为富含蛋白质的漏出液,Rivalta试验阳性,AGP为3650 µg/ml。猫冠状病毒(FCoV)逆转录定量PCR高阳性,确诊为FIP,腹水中的病毒载量为3.0×10^8拷贝/ml,血液中的病毒载量为5.9×10^5拷贝/ml。中枢神经系统成像和脑脊液分析未进行。

03 治疗

开始口服抗病毒治疗(15 mg/kg,q24h,共42天,GS-441524)。支持性治疗包括补液、马罗吡坦、昂丹司琼、米氮平、泼尼松龙(1 mg/kg,q24h,直至第21天,然后逐渐减量)、长期使用左乙拉西坦(20mg/kg,q8h)以及针对前葡萄膜炎的眼科治疗,包括局部使用泼尼松龙(直至第21天,第4-7天因角膜糜烂暂停)、托吡卡胺(直至第42天)和润滑性眼药水。

第21天时,因怀疑猫疱疹病毒1型角膜炎,添加了多粘菌素和西多福韦。尽管非活跃的脉络膜视网膜和虹膜-晶状体病变仍然存在,但全身和神经系统症状完全缓解。

第42天时,所有血液参数均已恢复正常,血液中FCoV逆转录定量PCR检测不到病毒RNA,支持停药。

04 预后

第59天,出现精神萎靡和体温升高。

第63天,因迅速进展的共济失调被送至转诊兽医处。

第66天,神经系统检查显示,严重的神经功能障碍与多灶性神经解剖定位一致,包括脑干。由于临床状况不佳,未进行眼科检查。第63天,血液分析仅显示AGP升高(810 µg/ml),未见渗出。

第66天,进行了高场强脑部和颈椎MRI检查。发现延髓至C5的髓内病变、脊髓肿胀(图1)、中度脑室扩大(图2)以及多灶性脑膜增厚且对比增强显著(图3)。肿胀限制了对枕大池的通路,因此需要进行腰椎穿刺而不是寰枕部穿刺以获取脑脊液。

↑ 图1. 大脑和颈椎的矢状位T2W图像。可见中度脊髓肿胀,以及中脑处存在一个广泛的、不对称的T2W和T1加权高信号病变(#),该病变沿颈椎延伸至C5。该病变在C4水平(*)最为明显。

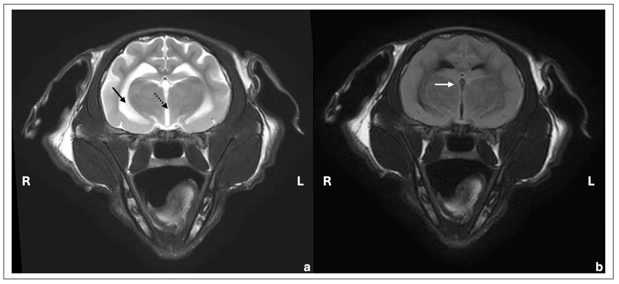
↑ 图2. 大脑丘脑和第三脑室水平的横断面图像,(a) T2W和(b) T2 FLAIR图像。脑室系统中度增宽(箭头:侧脑室,虚箭头:第三脑室),FLAIR序列中脑脊液抑制不完全(白箭头)。

↑ 图3. 颈椎C1水平的横断面图像,(a) T2W,(b) T1W增强前和(c) T1W增强后。脑膜中度增厚且对比增强显著(白箭头),与明显的脑膜炎相符。轻度双侧咽后内侧淋巴结肿大(虚白箭头)。

脑脊液分析显示中度淋巴细胞性多形核细胞增多(341个有核细胞/µl)和总蛋白水平显著升高(18.7 g/l)。未观察到感染性病原体或异常细胞。FCoV逆转录定量PCR呈低阳性(2.5×10^3拷贝/ml),强烈提示FIP复发并伴有脑膜脑脊髓炎

对刺突基因(99bp)进行病毒测序,发现与全身性传播和/或FIP相关的M1058L突变在渗出液、血液(第1天)和脑脊液(第66天)中存在,但在粪便(第1天和第246天)中不存在。除了M1058L突变外,早期的血液、渗出液和粪便序列(第1天)在核苷酸水平上与晚期粪便样本(第246天)一致。

相比之下,脑脊液序列(第66天)与渗出液和血液序列(第1天)在99个核苷酸中有14个不同,其中13个为同义突变,1个为非同义突变。因此,脑脊液序列(第66天)与血液和渗出液序列(第1天)在32个氨基酸中仅相差1个

05 复发后治疗

恢复抗病毒治疗(GS-441524,15mg/kg,口服,q24h),并因怀疑颅内压升高而给予一次甘露醇

第67天,精神状态恶化,伴有呼吸缓慢(<16次/分钟)、浅呼吸、心动过缓(106次/分)和低体温(35.1°C)。血压正常。由于吞咽反射消失和因低通气引起的严重高碳酸血症(pCO2为134.3mmHg),麻醉后插管,并置于正压控制机械通气下,吸入氧浓度(FiO2)为30%。全静脉麻醉联合使用丙泊酚、右美托咪定和咪达唑仑以确保深度镇静。

口服GS-441524改为静脉注射瑞德西韦(16.7mg/kg,q24h)。22小时后,呼吸驱动改善,恢复自主呼吸。拔管后4小时、8小时和12小时的连续静脉血气检查分别显示pCO2水平为64.8、79.3和76.8mmHg。为防止高碳酸血症相关的低氧血症,通过氧气箱提供氧气(FiO2 50%)。猫出现四肢瘫痪,精神状态不佳,但呼吸频率正常,呼吸有所改善。

06 预后

第69天,神经系统状态改善,允许转为口服GS-441524,并增加剂量(10 mg/kg,q12h)。当血红蛋白饱和度在室内空气中达到100%时,停止氧气补充。支持性药物包括泼尼松龙(1 mg/kg,IV,q12h)、左乙拉西坦、维生素B1、昂丹司琼(直至第71天)、马罗吡坦(直至第76天)和米氮平(直至第67天)。

从第67天起至第73天,因怀疑吸入性肺炎而开始使用阿莫西林-克拉维酸

第77天,猫能够站立和行走,尽管严重的全身性共济失调仍然存在。

第79天,出院,但仍然需要手动排尿。

第83天,首次自主排尿。泼尼松龙在第100天逐渐减量并停用。

第107天,血液结果正常,血液中的FCoV逆转录定量PCR呈阴性。由于持续的神经系统缺陷,如严重的共济失调、右侧触觉放置反应略减弱、左侧威胁反应减弱以及轻度减弱的前庭反射,抗病毒治疗延长至149天。

第149天,主人报告猫能够跳上窗台,且每天的活动能力和协调性都有所改善。剩余的左侧威胁反应减弱、宽基底站立和中度共济失调被归因于中枢神经系统的残留损伤,不与急性FIP相关。第二次GS-441524治疗停止。粪便中的FCoV RT-qPCR呈弱阳性,这与预期的完全FCoV阴性不符。

第246天,仅剩轻微的前庭共济失调。血液检查结果无异常,FCoV逆转录定量PCR结果为阴性。

07 讨论

猫传染性腹膜炎(FIP)是由猫冠状病毒(FCoV)突变引起的致死性全身性疾病,分为渗出型和非渗出型,后者常累及神经系统,称为神经型FIP。尽管新型核苷类似物GS-441524和瑞德西韦显著提高了治愈率,但神经型FIP因血脑屏障穿透差,复发率高,仍是临床难点。

本文报道一例6月龄英国长毛猫,在初治84天后出现神经症状复燃,最终通过高剂量、长疗程GS-441524联合短程瑞德西韦及强化监护获得长期缓解,为神经型FIP复发诊疗提供新思路。

患猫首次治疗42天后症状完全消失,血液及腹水病毒载量转阴,但停药17天后神经症状再现。病毒测序与初发时腹水/血液序列相比仅出现1个氨基酸变异(M1058L),且家养环境无新猫引入,提示病毒未彻底清除,因血脑屏障保护形成“脑部病毒库”,导致复燃而非再感染

复燃期MRI示脑干至颈髓广泛病变,CSF病毒量达2.5×10³拷贝/ml,证实中枢病毒活跃。口服GS-441524血脑穿透有限,复燃后首次再用仍出现呼吸抑制,可能因颅内压增高及脑干受累。遂改用静脉瑞德西韦,其活性代谢物在猫脑内浓度高于GS-441524,迅速控制病情;随后以高剂量、高频次口服GS-441524(10 mg/kg q12h)维持,总疗程84天,最终实现病毒学及临床缓解。

传统判断复发依赖MRI/脑脊液,但需麻醉且费用高。本例在神经症状出现前6天,血清AGP已由正常升至810 μg/ml,提示炎症再激活;而血常规、生化其余项目仍正常,说明AGP可作为早期、无创复发预警指标,优于SAA。

既往研究推荐神经型FIP疗程≥84天,本例按42天方案仍复燃,提示对中枢受累者,即便非神经首发表型,亦应考虑延长疗程或采用“高诱导+长维持”策略:先静脉瑞德西韦快速控脑病灶,再以双倍剂量GS-441524口服巩固,可降低复燃风险

总之,神经型FIP复燃的核心在于中枢病毒清除不足。本病例证明:复发早期仅AGP升高即可提示,应及时复查影像与脑脊液;复燃危象期静脉瑞德西韦联合机械通气可挽救生命;后续高剂量、长周期GS-441524口服可实现长期缓解,181天后患猫仅遗留轻度共济与左侧视觉减退,生活质量良好。 

未来需开展多中心研究,明确不同药物在中枢的药代动力学数据,建立以AGP为核心的无创监测方案,并制定神经型FIP分层治疗指南,以进一步提高治愈率、降低复发。

文献来源:de Witt Curtius CC, Rodary M, Hofmann-Lehmann R, Spiri AM, Meli ML, Bouzon AC, Wenk J, Cerchiaro I, Pineroli B, Pot SA, Beckmann K, Chan T, Wieser M, Unterer S, Felten S, Meunier SM. Navigating neurological re-emergence in feline infectious peritonitis: challenges and insights from GS-441524 and remdesivir treatment. JFMS Open Rep. 2025 Sep 19;11(2):20551169251360625.

发表回复

您的电子邮箱地址不会被公开。 必填项已用 * 标注