
| 一般情况 | |
![]() | 品种:短毛猫 |
| 年龄:14个月 | |
| 性别:雌 | |
| 是否绝育:否 | |
| 诊断:胎死腹中 | |
01 主诉及病史
因怀孕时间长达90天就诊。
食欲减退已持续一周,逐渐发展为厌食,伴有全身乏力、间歇性轻度尖叫和生殖器分泌物。其第一次怀孕时曾有流产史;第二次怀孕进展正常,产下两只活仔。
此前曾接受过催产素治疗,但未能诱导分娩。未表现出其他疾病或异常,疫苗接种和驱虫均按计划进行。由于这只猫是领养的,此前记录无法获取。交配记录也缺失,但主人推测其与邻居家的公猫自然交配。
02 检查
体重3.5公斤,体况评分3/5。在就诊时,这只猫正处于第三次分娩期,腹部膨隆,但没有明显的用力分娩迹象,同时还表现出精神萎靡和有异味的浅棕色阴道分泌物(下图)。

颈部皮肤皱褶测试显示轻度脱水(失水量小于5%)。黏膜呈淡粉色,牙龈区毛细血管再充盈时间约为2秒。阴道窥器检查未发现其他局部异常,除了来自部分扩张的宫颈的恶臭阴道分泌物。关键的临床和血液生化参数均正常。
在进行深度触诊时,发现后腹腔内有坚实的管状结节结构,延伸至骨盆入口处,同时伴有相应的疼痛反应。腹部X光发现了胎儿骨骼结构(下图),这一发现进一步得到了超声的支持。

↑ 侧腹部X光片显示母猫子宫内有不透射线的胎儿骨骼结构(黄色虚线区域)。
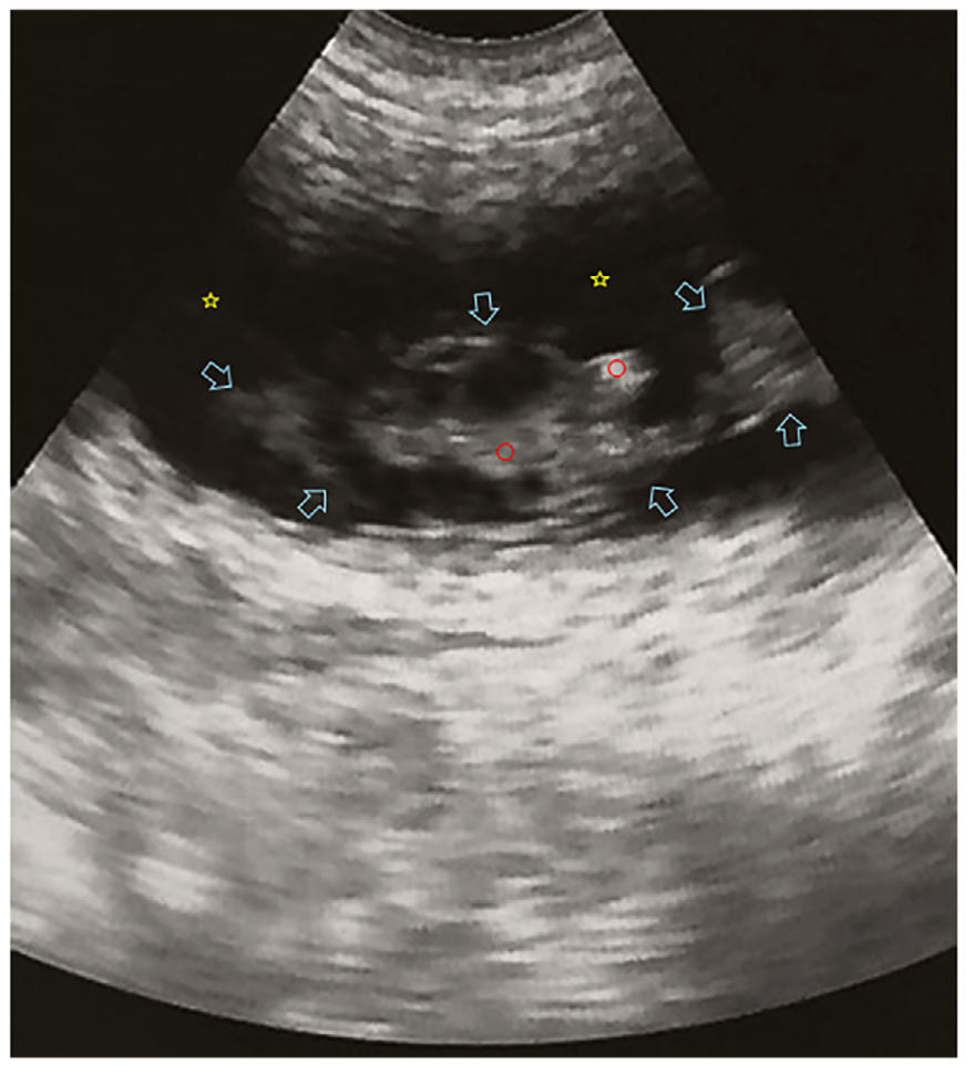
超声显示胎儿已无生命迹象,表现为胎儿无活动且无法检测到心跳(下图)。这些发现还得到了胎儿多普勒胎心监测仪的支持,该仪器显示胎儿的心跳频率与母猫的心率相比没有显著差异。未进行激素检测。

↑ 经腹超声显示胎儿成分(蓝色箭头)。类似胎儿骨骼的明亮回声结构(红色圆圈)和类似胎儿及子宫液体的低回声区域(黄色星)。
根据病史、体格检查和影像学结果,初步诊断为过期妊娠中的子宫内胎儿死亡。尝试经宫颈胎儿取出,但未能成功,因此需要进行手术干预。
03 治疗
最初接受了液体复苏,通过静脉注射给予5%葡萄糖生理盐水(15 mL/kg,16分钟内输注完毕)。在获得主人的知情同意后,决定进行卵巢子宫切除术。与此同时,猫已禁食禁水超过8小时,因此进行了全身麻醉。
在麻醉诱导前,肌肉注射硫酸阿托品(0.05 mg/kg),随后用盐酸赛拉嗪(1.1 mg/kg)进行镇静。镇静后约10分钟,肌肉注射盐酸氯胺酮(17 mg/kg)进行全麻诱导。
全麻下置于右侧卧位,左侧腹部向上。手术部位经过无菌准备,然后在左侧腹部做纵向皮肤切口,分离皮下组织、腹肌和腹膜,进入腹腔,接近同侧(左侧)和对侧(右侧)子宫角。仔细控制出血。术中液体治疗维持为静脉输注哈特曼溶液(4 mL/kg/h)。
使用Senn-Miller拉钩(钝性)将左右子宫角(下图A)及卵巢拉出体外。手动撕裂左侧卵巢悬韧带,并在系膜中开孔以便结扎。卵巢血管蒂用2-0缝线结扎。用蚊式止血钳在结扎和从子宫角分离卵巢时固定卵巢残端。检查卵巢残端有无出血,然后将其放回腹腔。对右侧子宫角和卵巢重复相同的操作。
发现妊娠的子宫角(左、右)无胎儿搏动,轻轻抬起以暴露子宫体。用非压迫性钳夹住子宫体,防止破裂和出血,同时用3-0缝线结扎子宫侧支血管。在子宫体靠近宫颈处用2-0缝线进行贯穿结扎。子宫角连同一小部分子宫体被切断并移除。仔细检查子宫残端有无出血,然后将其放回腹腔。用温生理盐水冲洗腹腔。
常规关闭腹腔切口,包括用单层福特互锁缝线(下图B)缝合腹膜和腹肌,用简单连续缝线缝合皮下脂肪组织和筋膜。皮肤边缘用皮下缝线缝合,随后用水平褥式缝线(下图C)缝合,用10%聚维酮碘用无菌纱布局部涂抹以防止局部污染。

↑ 母猫卵巢子宫切除术的各个阶段:(A)暴露的子宫角;(B)切除子宫和卵巢后关闭腹腔切口;(C)缝合皮肤边缘。
切除的子宫角被纵向切开,每个角内都发现了一个腐败的胎儿(下图A-C)。胎儿已分解,表现出高度腐败,特征为软组织溶解和骨骼暴露。因此,确诊为胎儿浸溶,胎儿死亡时的妊娠年龄估计在70-75天之间。由于手术设施的限制,术中无法进行血流动力学监测。

↑ 切除的子宫角:(A)总长度约为12英寸;(BC)暴露腐败的胎儿。
术后立即通过静脉注射给予5%葡萄糖生理盐水35 mL,15分钟内输注完毕。建议佩戴伊丽莎白圈14天。术后用药方案包括:头孢曲松钠(IM,35 mg/kg,每天两次,连续7天);美洛昔康(SC,0.2 mg/kg,每天一次,连续4天);马来酸苯海拉明(IM,1 mg/kg,每天一次,连续7天);马来酸多潘立酮(PO,1 mg/kg,每天两次,连续5天);乳果糖溶液(PO,1.5 mL/猫,每天一次,连续5天)。局部使用2%莫匹罗星软膏(每天两次,持续14天)。
术后第2天起,口服维生素C(糖浆,200 mg/猫,每天一次,持续2周)。术后4周内限制频繁活动和跳跃。
04 预后
术后第12天拆线,猫状况良好。
术后第22天,手术部位愈合良好(下图AB)。由于主人的经济限制,未进行额外的诊断测试。

↑ 术后22天手术部位愈合情况。术后15周,主人未报告任何并发症。
05 讨论
胎儿浸溶(Foetal Maceration)是猫妊娠期少见但严重的并发症之一,指胎儿在子宫内死亡后,由于宫颈开放,细菌进入子宫腔内,导致胎儿组织发生腐败性分解,最终仅残留骨骼。
这种情况通常发生在胎儿骨骼已经形成之后,若胎儿死亡发生在骨骼形成前,则多表现为胎儿吸收或木乃伊化。
猫的正常妊娠期约为65天,若妊娠超过70天仍未分娩,应高度怀疑胎儿死亡或难产的可能。胎儿浸溶的发生可能与感染、创伤、代谢紊乱、遗传或激素异常等因素有关,但在临床实践中,确切病因往往难以确定。
本病例因妊娠期延长至90天并伴有恶臭阴道分泌物、厌食、虚弱等症状就诊。该猫有第一胎流产、第二胎正常分娩的繁殖史,此次为第三胎。初步检查未发现明显的系统性疾病,影像学检查(X光与B超)证实子宫内存在胎儿结构但无生命迹象,最终通过卵巢子宫切除术确诊为胎儿浸溶。
该病例的特殊之处在于猫在胎儿浸溶过程中并未表现出明显的全身感染症状,如发热、白细胞升高等,提示其可能处于亚临床感染状态。这种“沉默型”病程可能导致诊断延迟,增加子宫损伤风险。
此外,主人曾在妊娠约70天时给予催产素治疗,但未能诱发分娩,可能与宫颈未充分扩张或子宫对药物反应不佳有关。文献指出,催产素在宫颈未开或胎儿已死亡的情况下使用,可能无效甚至加重病情。
手术中可见两个胎儿已高度腐败,软组织基本溶解,仅存骨骼,证实为典型胎儿浸溶。由于该猫繁殖史复杂,且此次病情严重,主人选择进行卵巢子宫切除术,既治疗当前疾病,也避免未来再次发生类似问题。术后恢复良好,未出现并发症,提示在繁殖价值不高或病情严重的动物中,卵巢子宫切除术是一种安全、有效的治疗手段。
总之,本病例强调了在猫妊娠超过预期时间时,应及时进行影像学检查以评估胎儿状况,避免胎儿浸溶等严重并发症的发生。胎儿浸溶虽少见,但若未能及时诊断与处理,可能导致子宫破裂、败血症等危及生命的后果。对于无繁殖需求的猫,卵巢子宫切除术不仅能有效治疗本病,还能预防复发。未来的研究应进一步探讨胎儿死亡的遗传与激素因素,以提高对猫繁殖障碍的认识与管理水平。
文献来源:Islam MR, Mostasin R, Obaid MSI, Munif MR. Surgical Management of Foetal Maceration in a Domestic Shorthair Queen. Vet Med Sci. 2025 Sep;11(5):e70616.
