一般情况
品种:拉布拉多犬
年龄:3岁
性别:雄
是否绝育:是
诊断:胃肠道平滑肌炎

01 主诉及病史

因怀疑肠穿孔和败血症被转诊。

最初因3-4周的食欲减退,随后1周的厌食和呕吐在当地就诊。有既往饮食不当的病史,因此怀疑存在机械性肠梗阻。进行了腹部X光检查和腹腔穿刺术。腹腔积液呈絮状黄褐色,有碎屑和大量杆状细菌,多到无法计数。

02 检查

超声显示小肠段明显扩张,含有液体和少量无回声腹膜渗出液。血液检查显示轻度正细胞(67 fL [62-77])、高色素(38.1 g/dL [33-36.1])的非再生性贫血(红细胞压积34% [40-59])和轻度低钾血症(3.56 mmol/L [4.1-5.4])。

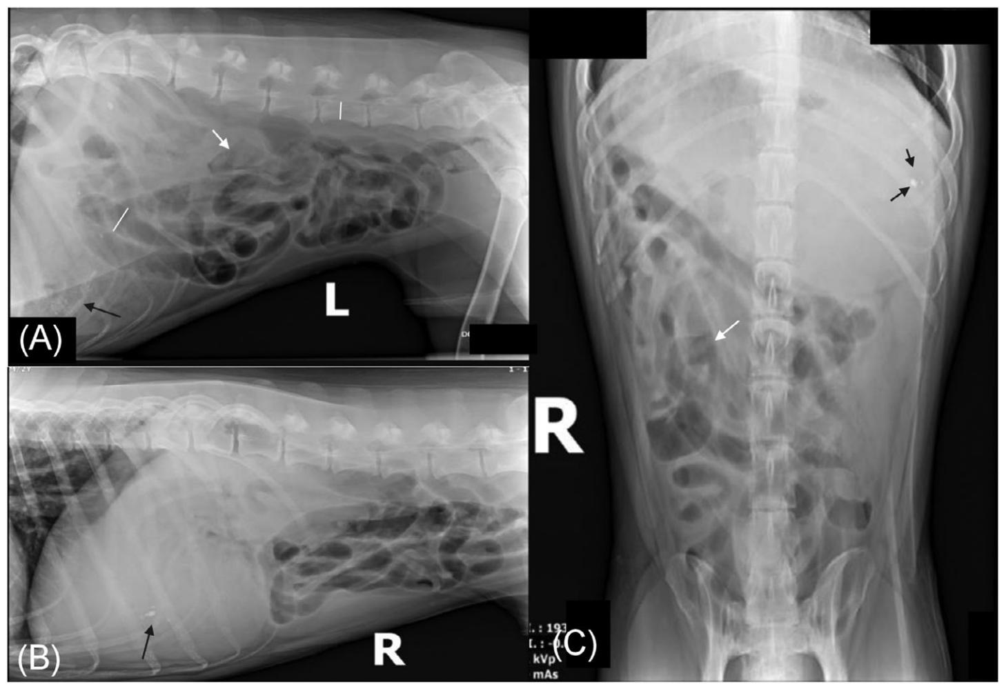
腹部X光显示腹膜表面细节欠佳,整个胃肠道弥漫性气体扩张(下图)。胃内还含有中等量的均匀软组织和多个小的椭圆形矿物质不透光区域。肠段中度弥漫性扩张,未见节段性扩张。肠段的测量值小于L5高度的2倍(下图A)。少数小肠段内可见少量不均匀的软组织肠腔内容物(下图AC)。

↑ 腹部X光片:(A) 左侧位,(B) 右侧位,(C) 腹背位。(A) 小肠弥漫性中度气体扩张。小肠段的测量值小于L5高度的2倍(白线)。(AC) 小肠内有少量不均匀的肠腔物质(白箭头)。(A-C) 胃内充满均匀软组织和几个小的椭圆形矿物质不透光区域(黑箭头)。腹膜表面细节轻度减少。

胸部X光未见肺部转移、胸腔内淋巴结肿大或吸入性肺炎,但胃内仍充满均匀软组织和气体。

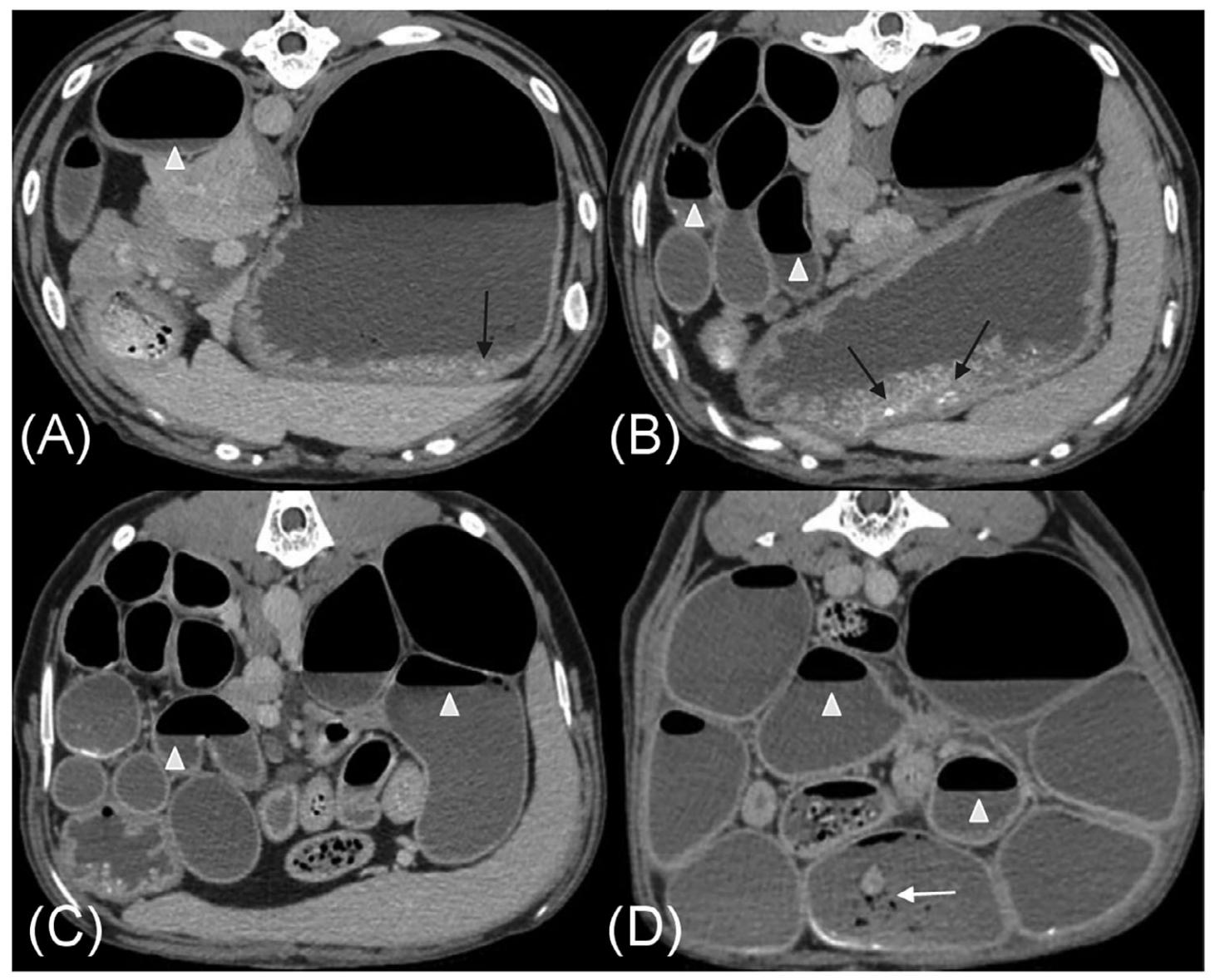
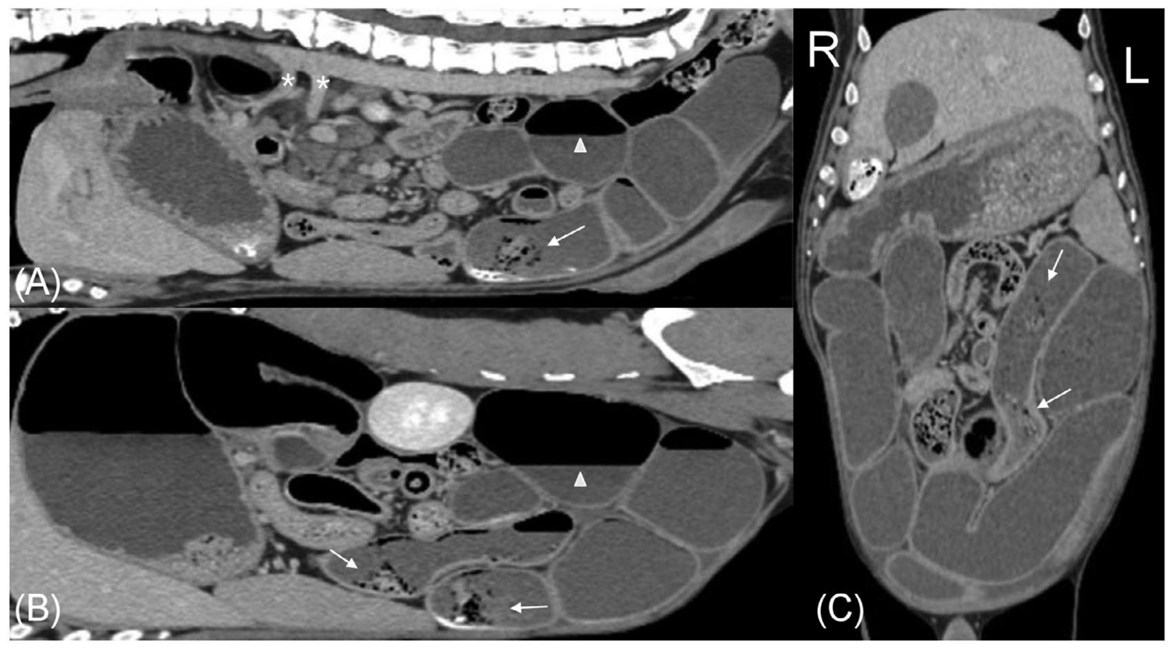
腹部CT显示胃中度扩张,内含气体、不均匀软组织和颗粒状矿物质,小肠严重弥漫性扩张(约为L5高度的4倍),肠腔内充满液体、气体以及不同量的颗粒状矿物质和不均匀软组织。小肠内液体和气体分层,形成水平的气液界面,提示蠕动减少或缺失(下图)。小肠内的颗粒状矿物质和不均匀软组织未占据整个肠腔,未被视为梗阻性病变,因此影像学诊断为弥漫性功能性肠梗阻

胃肠道壁厚度均匀,未见异常肠壁增厚或对比增强改变。CT血管造影的所有阶段均显示正常血管增强,排除了血栓栓塞性疾病或肠系膜扭转/肠扭转作为引起广泛严重肠梗阻的原因。未发现腹膜病变。

↑ 对比后静脉期CT图像,显示正中矢状面(A)、左侧旁矢状面(B)和背平面(C)。在AB中,头部在左侧,在C中,头部在上方。大部分小肠中度弥漫性扩张,内含均匀软组织和气体的混合物,形成依赖重力的气液界面(白三角)。几个小肠段内有少量不均匀的软组织、矿物质和气体衰减物质,但未完全充满肠腔(白箭头)。在A中,腹腔动脉和肠系膜上动脉有正常的对比剂充盈(*)。

↑ 横断面对比后静脉期CT图像,所有图像中均可见中度胃和小肠扩张。X光检查中发现的胃内颗粒状矿物质仍然存在(黑箭头)。大部分小肠段内均匀软组织和气体的分层,形成依赖重力的气液界面(白三角)。几个小肠段内有少量颗粒状矿物质和不均匀软组织,但未完全充满肠腔(白箭头)。胃和小肠的肠壁厚度及对比增强均正常。

03 治疗

进行了探查性剖腹手术,确认不存在机械性梗阻。在胃减压后,观察到蠕动极少。小肠弥漫性严重扩张,肠壁变薄,呈红斑状,有多灶性出血点。在大部分小肠中未观察到蠕动波,但在回肠中观察到少量运动。

对胃、十二指肠、空肠、回肠以及一个空肠淋巴结进行了全层活检,结果显示为轻至中度弥漫性亚急性或慢性淋巴浆细胞胃肠炎和胃肠道平滑肌炎,有多灶性中性粒细胞浸润以及平滑肌空泡变性。

还发现了胃腔内的螺旋杆菌(幽门螺杆菌)和真菌(点滴复膜酵母菌Cyniclomyces guttulatus)。这些微生物的致病潜力尚不确定,因为它们可以在临床正常的动物中发现,但也与犬的胃炎有关。

04 预后

手术后,患者接受了支持性治疗。由于疗效不佳,3天后进行了安乐死。

05 讨论

肠平滑肌炎是一种极少累及犬的慢性功能性肠梗阻病因,其本质是肠壁平滑肌被淋巴细胞浸润、破坏,导致蠕动乏力甚至消失。本病在人医报道相对较多,可继发于自身免疫病、感染、代谢紊乱或先天神经肌肉异常,亦可为特发性。

兽医文献仅零星病例,临床表现均为非特异性:反复呕吐、腹胀、食欲下降、体重减轻,偶伴腹泻或黑粪。实验室检查多提示慢性脱水、电解质紊乱及蛋白丢失。由于病变主要位于肌层,常规内镜活检难以取到,确诊需多处全层手术活检

治疗上无统一方案,文献尝试促动力、免疫抑制、静脉免疫球蛋白、全肠外营养及抗生素控制细菌过度生长,但总体预后不良,多数犬在确诊数周至数月内安乐死。

本病例有4周渐进性厌食、呕吐病史,影像呈胃及小肠弥漫性扩张却无阻塞点,符合“功能性肠梗阻”概念。初诊发现腹腔穿刺液含大量杆菌,曾疑肠穿孔脓毒,但CT未见游离气体及局灶壁缺损,术中亦未发现穿孔,提示穿刺可能误入肠腔或极少量局灶渗出被CT遗漏。

CT多期血管造影的价值在于:① 一次性排除机械性梗阻、扭转、血栓及腹膜大片病变;② 对大型犬肠腔大量积气的情况,超声窗口受限,CT仍可获得整体评估;③ 清晰显示重力依赖性气-液平面,提示几乎无蠕动,为“麻痹性肠梗阻”提供直观证据。

术中所见(肠管菲红、点状出血、蠕动消失)与影像高度吻合,最终病理在胃、十二指肠、空肠、回肠均检出淋巴-浆细胞浸润合并平滑肌空泡化,符合“弥漫性淋巴性胃肠炎并平滑肌炎”描述

值得注意的是,本例同时检出胃螺旋菌及酵母菌,但病理医师认为其致病性未定。作者认同“机会共生”可能,因菌群失调常继发于淤滞,而非原发因素。低钾(3.56 mmol/L)可加重肌无力,但程度轻,不足以解释顽固梗阻,故考虑为继发而非主因。术后仅用支持疗法,三日无改善即安乐,再次印证该疾病预后极差。

总之,对“影像重度胃肠扩张却无阻塞”的大型犬,应把肠平滑肌炎纳入鉴别;CT血管造影是排除机械、血管及腹膜病因的高效工具。确诊需多处全层活检;病理表现为肌层淋巴细胞浸润伴肌细胞变性与空泡化。

该病目前尚无有效循证疗法,文献报道的促动力、免疫抑制及静脉免疫球蛋白仅个别短期缓解,多数病例仍因顽固梗阻、营养不良及生活质量低下而被迫安乐。未来需多中心回顾或前瞻性研究以明确免疫抑制方案、剂量与疗程,并探索特异性自身抗体或遗传易感性,为早期干预提供依据。

文献来源:Cantu M, Hostnik ET, Urion R. Imaging Diagnosis-Intestinal Leiomyositis in a 3-Year-Old Labrador Retriever. Vet Radiol Ultrasound. 2025 Nov;66(6):e70093.

发表回复

您的电子邮箱地址不会被公开。 必填项已用 * 标注