
| 一般情况 | |
![]() | 品种:德威尔夫猫 |
| 年龄:10个月 | |
| 性别:雄 | |
| 是否绝育:是 | |
| 诊断:软骨发育不良 | |
01 主诉及病史
因左前肢急性发作的跛行和双前肢弯曲畸形3个月就诊。
此前的休息和抗炎药物治疗部分有效。
02 检查
体重3.3公斤。精神良好、警觉且反应灵敏,左前肢跛行程度为6/10–10/10。尽管如此,它仍然能够跳跃,主要依靠右前肢。双侧肘部外展,左桡骨头可触及向外侧脱位。右侧肘关节活动范围减少,操作时有疼痛反应。前臂明显双侧向前弯曲,腕关节呈双侧内翻。后肢检查未见异常。
术前CT显示双侧前肢弯曲畸形,包括桡骨向前弯曲、爪子外旋和腕关节内翻。双侧肘关节不匹配和桡骨头半脱位被记录下来,右侧轻微,左侧明显(下图)。诊断为双侧前肢弯曲畸形,推测是由于软骨发育不良导致远端尺骨生长板生长缓慢所致。左前肢桡骨头半脱位和肱尺关节半脱位被认为是跛行的原因。

↑ 左(ac)和右(bd)前肢的正侧位和头尾位X光片。双侧桡骨头半脱位,桡骨弯曲,尺骨短小,远端尺骨生长板过早闭合,尺骨呈内翻畸形。这些变化与软骨发育不良、双侧肢体弯曲畸形、肘关节发育不良以及随后的发育型I桡骨头半脱位以及肱尺关节半脱位相符合,左侧稍显严重。

↑ (a) 右侧和 (b) 左侧前肢的CT三维重建体积的背侧视图。这些图像显示双侧前肢弯曲畸形,包括桡骨向前弯曲、爪子外旋和腕关节内翻。左侧桡骨头的半脱位更为明显。
与主人讨论后,计划进行一次矫正手术,旨在减少桡骨头半脱位并改善关节匹配。由于经济限制,主人只允许进行一次手术。
03 治疗
术前,用右美托咪定(10 µg/kg 肌内注射)和美沙酮(0.3 mg/kg 肌内注射)进行术前给药,用阿法沙龙(0.9 mg/kg 静脉注射)诱导麻醉,并用1.2%异氟醚在氧气中维持麻醉。
术前30分钟给予头孢西丁(20 mg/kg 静脉注射),术中每90分钟重复一次,术后每8小时一次。通过在上臂丛神经阻滞中使用布比卡因(1 mg/kg)提供局部区域麻醉。
通过在近端前臂外侧进行皮肤切口,常规暴露尺骨骨干,并使用锯片进行单一切斜尺骨截骨术。立即实现了桡骨头的复位,肘关节活动范围立即得到改善。然而,肘关节屈曲会导致桡骨头再次脱位。为了维持复位,通过电动钻在桡骨和尺骨之间钻一个1.1 mm的骨隧道,并手动复位桡骨头,放置了一个2.0 mm的聚丙烯桡尺骨切换装置和按钮。这改善了桡骨头的稳定性,尽管在屈曲时仍有一些程度的半脱位。
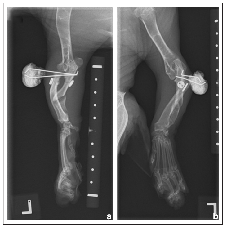
通过放置两根0.9 mm(20 G)的发散性临时桡尺骨克氏针进一步稳定。这些针从近端前臂的头侧表面穿出,一端用粘土保护,另一端弯曲以减少针的移位。常规进行缝合,包括皮肤缝合,并获得术后X光片(下图)。

↑ 左前肢术后即刻的 (a) 正侧位和 (b) 头尾位X光片。桡骨头已复位至更接近解剖位置。尺骨截骨处存在间隙,与尺骨的释放和动态牵张相符合。桡骨和尺骨之间有一个透光的骨隧道,其中放置了桡尺骨切换针和按钮,以及两根发散的克氏针,它们以骨间位置穿过桡骨和尺骨,并从近端前臂的头侧表面穿出。
04 预后
住院48小时,用美沙酮(0.2 mg/kg,q4h)和美洛昔康(0.1 mg/kg,皮下注射)提供镇痛。还给予加巴喷丁(15 mg/kg,PO,q12h)作为镇静剂和抗焦虑药。
第二天,猫行走良好。出院后,继续使用头孢氨苄(20 mg/kg,PO,q12h)7天,美洛昔康(0.05 mg/kg,PO,q24h)14天,加巴喷丁(5 mg/kg,PO,q8h)4周。
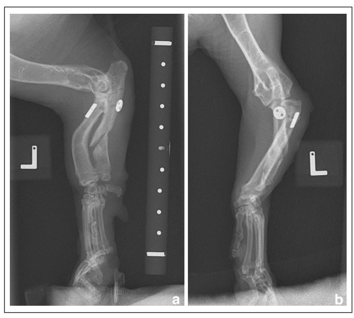
术后3周,精神良好、警觉且反应灵敏,未报告并发症。左前肢跛行评分为3/10,触诊或肘关节的屈伸时无疼痛,但肘关节活动范围有轻度减少。X光片显示桡骨头有轻度持续性半脱位,尺骨截骨处有重塑的迹象,但未见明显的骨痂形成(下图)。

↑ 左前肢术后3周的 (a) 正侧位和 (b) 头尾位X光片。与术后即刻X光片相比,植入物位置未变。桡骨头仍存在半脱位,尺骨截骨处显示出一些重塑迹象。
在两根发散的桡尺骨克氏针上方进行了皮肤切开,并顺利将其移除。术后拍摄了X光片以记录植入物的移除(下图)。给予美洛昔康(0.05 mg/kg,PO,q24h)14天和加巴喷丁(15 mg/kg,PO,q8h)4周。

↑ (a) 左前肢移除临时克氏针3周后的正侧位和 (b) 头尾位X光片。桡骨头显示出一定程度的半脱位,主观上与移除克氏针前的状态相似。
术后6周,行走良好,坐下时左前肢向前伸展,肘关节正常屈曲,这自跛行急性发作以来从未出现过。临床检查发现偶尔抬腿,跛行评分为1/10。与术前状态相比,触诊时桡骨头主观上不那么突出,左肘关节活动范围良好。此时拍摄的X光片(下图)证实桡骨头半脱位的位置与之前的术后X光片相似,并且截骨处有愈合的迹象。

↑ (a) 左前肢术后6周的正侧位和 (b)头尾位X光片。切换针和按钮的位置保持不变。骨痂已经形成,并开始桥接尺骨截骨间隙。桡骨头仍存在持续的外侧半脱位。
术后5.5个月,此前曾有短暂的48小时跛行发作,但体格检查未发现变化,且在就诊时跛行已经缓解,未再进行进一步的影像学检查。
05 讨论
软骨发育不良(chondrodystrophy)是一类影响骨骼和软骨发育的遗传性疾病,常见于某些犬种如腊肠犬、斗牛犬等,表现为短肢、关节畸形、肢体角度异常等。近年来,随着“矮脚猫”等猫种的流行,软骨发育不良在猫中的发病率也逐渐上升,尤其是像德威尔夫猫(由斯芬克斯、曼基康和美国卷耳猫杂交而成)这样的品种,其本身就携带多种与骨骼发育相关的遗传突变。
桡骨头半脱位是肘关节发育异常的一种表现,属于先天性或发育性肘关节脱位的类型之一。根据解剖位置可分为三类:1型为肱桡关节脱位,2型为肱尺关节脱位,3型为尺桡骨同时移位。本文报道的病例属于1型,即肱桡关节脱位,表现为桡骨头向外侧移位,常伴随尺骨发育不全、肘关节角度异常等。
本病例为一只10月龄雄性德威尔夫猫,因左前肢急性跛行就诊。临床检查发现其双前肢存在明显角度畸形,左侧桡骨头可触及外侧脱位,右肘关节活动受限并伴有疼痛。影像学(X线与CT)显示双前肢存在桡骨头半脱位、尺骨短缩、远端尺骨骺提前闭合等典型软骨发育不良表现,左侧脱位程度更重。
由于经济限制,主人仅同意进行一次手术治疗。术式包括左侧尺骨斜行截骨术、桡尺骨间聚丙烯缝线固定以及两根临时性经骨克氏针固定。术后桡骨头部分复位,肘关节活动度改善,跛行明显减轻。术后3周拔除克氏针,6周后复查显示步态良好,肘关节活动度恢复正常,虽有轻度桡骨头半脱位残留,但未见明显功能障碍。
本病例首次报道了软骨发育不良猫发生桡骨头发育性半脱位的案例,提示该类猫种可能存在与软骨发育相关的骨关节疾病风险。德威尔夫猫由多个携带骨骼异常基因的品种杂交而成,其软骨发育不良的发生可能与遗传因素密切相关。尤其是曼基康猫的短肢突变与美国卷耳猫的软骨发育异常可能共同作用,导致骨骼结构不稳定,进而诱发肘关节发育异常。
总之,本病例强调了在软骨发育不良猫中,肘关节发育异常(如桡骨头半脱位)可能成为一种新的临床问题。随着矮脚猫等“造型猫”在宠物市场的流行,相关遗传性疾病的发病率可能上升,值得兽医临床和繁育者高度关注。早期诊断和个体化治疗是改善预后的关键。尽管本例中手术未能完全复位桡骨头,但通过尺骨截骨和临时固定,仍显著改善了关节功能和动物生活质量。
未来应加强对软骨发育不良猫种的遗传筛查与繁育管理,避免人为选择性繁殖加剧遗传病传播。同时,建议建立更多长期随访数据,以明确不同手术方式在该类病例中的疗效与适应症。
对于临床兽医而言,应提高对猫发育性骨关节疾病的识别能力,尤其是在表现出跛行或关节畸形的年轻猫中,需考虑软骨发育不良的可能性,并结合影像学进行早期评估。
文献来源:Lunde K, Langley-Hobbs SJ. Radial head subluxation in a chondrodystrophic cat: aetiology, surgical treatment and outcome. JFMS Open Rep. 2025 Sep 19;11(2):20551169251366438.
