
01 定义/概述
- 胃部的良性肿瘤较为少见,可能起源于平滑肌(平滑肌瘤)或胃黏膜上皮(腺瘤/腺瘤性息肉)。
- 其他胃部良性病变包括肥厚性胃病和错构瘤。某些胃肠道间质瘤(GIST)也可能表现为良性,尽管这些在胃部相对少见。
- 预后通常良好。
02 病因/发病机制
- 未知。
- 在胃息肉中发现了幽门螺杆菌,但与人类不同,尚不清楚幽门螺杆菌感染是否会导致息肉形成。
- 发病率/患病率:在犬中较为少见,在猫中极为罕见。
1. 受影响的系统
- 消化系统。
03 病史
- 无已知的品种易感性。
- 年长的犬(平滑肌瘤的中位年龄为11岁)。
- 一项研究显示,雄性犬平滑肌瘤的发病率增加(82%)。
1. 病史发现
- 与胃部的占位效应相关。
- 食欲不振。
- 呕吐,尤其是当引起流出道梗阻时。
- ±呕血。
- 体重减轻。
- 平滑肌瘤:与低血糖相关的症状,可能是一种副肿瘤综合征。
–癫痫发作。
–虚弱,共济失调。
–精神萎靡。
–多尿/多饮。
04 临床表现
- 体重减轻。
- 可触及的腹部肿块(较为少见)。
- 腹部不适。
- 胃息肉通常是在内窥镜检查或尸检时偶然发现的。
05 鉴别诊断
- 异物。
- 炎性肠病。
- 寄生虫。
- 胰腺炎。
- GIST。
- 腺癌。
- 平滑肌肉瘤。
06 诊断
1. 血细胞计数/生化检查/尿液分析
- 实验室检查通常正常。
- 低血糖:可能作为副肿瘤综合征出现在患有平滑肌瘤、平滑肌肉瘤或GIST的犬中,通常与较大的肿瘤相关。可能由肿瘤分泌具有活性的胰岛素样生长因子2(IGF-2)引起。
- 贫血:如果是由溃疡性肿瘤引起的失血,可能是正细胞性、正色素性(慢性疾病)或小细胞性、低色素性(缺铁性贫血)。
- 在肌酐正常的情况下,血尿素氮轻度且持续升高可能支持胃肿瘤引起的失血。
2. 影像学检查
- 腹部超声:可能会显示胃壁增厚或腔内肿块,并且可以评估其他腹部器官是否存在异常。一般来说,良性肿瘤通常是带蒂的且边界清晰。
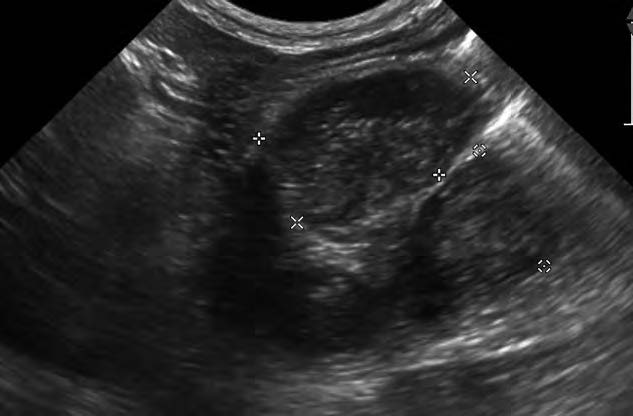
- 平滑肌瘤通常在靠近贲门处表现为离散的、表面光滑的肿块(图1)。

图1. 一只因呕吐和低血糖就诊的犬的胃部肿块的超声图像。该肿块呈分叶状、双叶形,从贲门沿小弯延伸至胃底,大小约为2.2×3.5厘米。肿块内有一个小的囊性区域。胃部扩张,充满大量气体和呈圆形的高回声阴影结构,符合食物残渣。
- 息肉可能是无蒂的或带蒂的,单发的或类似花椰菜的病变。大多数表现为回声增强且局限于黏膜层,不涉及黏膜下层。
- 在良性胃部肿块的情况下,淋巴结肿大较为罕见。
- 阳性对比造影:可能会看到腔内肿块导致的充盈缺损,如果存在相应的流出道梗阻。也可能看到胃排空延迟和蠕动减弱。
- 胸部X光片:作为分期或麻醉前评估的一部分来考虑。
3. 其他诊断程序
- 细针抽吸(FNA):平滑肌瘤和其他良性病变通常脱落不良,限制了FNA的实用性。
- 可以进行内窥镜活检,但如果肿瘤位于黏膜表面以下,或者肿块超出内窥镜的范围,则通常无法得出诊断。内窥镜可用于观察肿块和收集活检样本;还可以评估覆盖的黏膜。平滑肌瘤通常是黏膜下病变,覆盖的黏膜通常是正常的。
- 开腹探查术中的开放手术活检是金标准,通常需要用来确诊。
4. 病理发现
(1)平滑肌瘤
- 大体表现:质地坚实,黏膜下肿块,覆盖的黏膜正常。
- 细胞学表现:倾向于脱落不良。
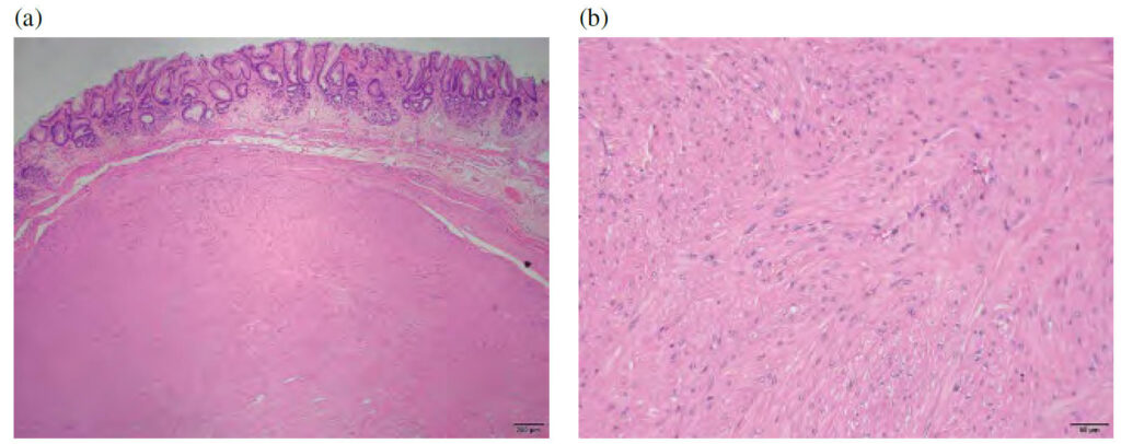
- 组织病理学表现:黏膜下病变,扩张肌层;肿瘤细胞类似于分化良好的平滑肌细胞,呈长条状、相互交错的束状排列(图2)。

图2. (a) 图1中的胃部肿块的组织病理学标本(4倍放大)。壁内肿瘤扩张肌层,并与相邻的平滑肌壁有清晰的分界。(b) 图2a中标本的20倍放大。肿瘤细胞呈长条状、相互交错的束状排列,具有中等量的嗜酸性纤维状细胞质和卵圆形至梭形、钝端的细胞核,核内有粗颗粒状染色质和一至两个核仁。最终的组织病理学诊断与胃平滑肌瘤一致。手术后血糖浓度恢复正常。
- 可能需要免疫组化来区分GIST。
–平滑肌瘤:免疫组化对平滑肌肌动蛋白呈阳性±脱丝蛋白。
–GIST:免疫组化对KIT(c-kit或CD117)呈阳性±CD34。
(2)腺瘤
- 大体表现:腔内病变,突出于黏膜表面平面之上。
- 细胞学表现:倾向于脱落不良。
- 组织病理学表现:正常上皮覆盖在由纤维血管构成的核心上,核心被多种炎症细胞浸润。通常仅有轻微的细胞大小不一和核大小不一,且无分裂象。
- 世界卫生组织分类方案:增生性(再生性)或炎症性(良性淋巴样)。
07 治疗
1. 首选药物
- 良性肿瘤无需化疗。
2. 护理措施
- 手术恢复期间可考虑少食多餐。
- 如有需要,可考虑放置饲管。
- 使用止吐药、抗酸药、镇痛药进行支持性护理。
- 对于低血糖患者,需监测血糖,并进行适当治疗(补充葡萄糖)。
3. 手术注意事项
- 手术切除是首选治疗方法,如果肿瘤可切除,则可治愈。
- 即使是较大的平滑肌瘤,通常也可以通过胃切开术和黏膜下切除成功移除。
