
| 一般情况 | |
![]() | 品种:伯恩山犬 |
| 年龄:4个月 | |
| 性别:雄 | |
| 是否绝育:否 | |
| 诊断:骶髂关节炎 | |
01 主诉及病史
因后肢步态异常以及右跗骨逐渐加重的过度伸展2周就诊。
该犬一直不愿意跳上沙发,但其他活动表现正常。既往没有感染或易患疾病。
02 检查
体重20.8公斤。在骨科检查中,触摸腰骶部会引起疼痛。后肢步态轻度僵硬且略宽,有轻度外展。观察到中度右跗骨过度伸展、轻度左跗骨过度伸展以及轻度跖骨外旋。
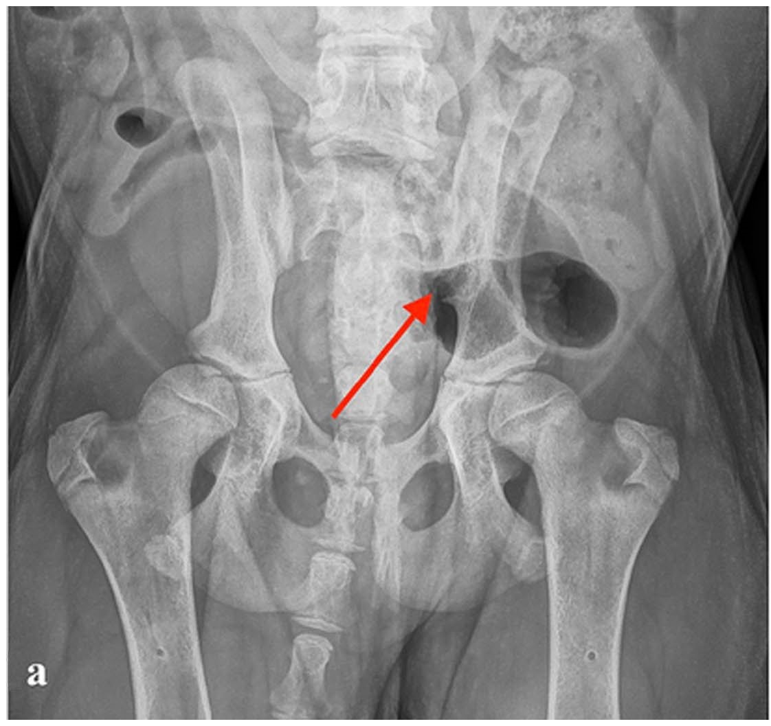
镇静后拍摄了腰椎和骨盆X光片。X光片显示左侧骶髂关节有侵蚀性病变,以及轻度髋关节松弛(下图)。

↑ (a)腹背位X光片显示左侧骶髂关节有侵蚀性病变(红色箭头)。
CT显示双侧骶髂关节表面有多处小的、随机分布的囊状和不规则形状的凹陷缺损,周围有明显的硬化(下图)。还观察到骶髂关节间隙不对称增宽。左侧病变严重,右侧病变中等。X光和CT还显示髋关节有轻度犬髋关节发育不良的改变。

↑ (b)CT图像(冠状面)显示左侧骶髂关节表面有多处小的、随机分布的囊状和不规则形状的凹陷缺损,周围有明显的硬化(红色箭头)。右侧也有类似的但较轻的缺损(黄色箭头)。
初步诊断为炎症性或感染性骶髂关节炎。考虑到患者的年龄、临床症状和CT发现,退行性和肿瘤性疾病被认为可能性较小。
03 治疗
接受了卡洛芬(4 mg/kg,每日一次)治疗3周,进行了物理治疗,并使用了含有氨基葡萄糖和软骨素的关节保健品,同时限制运动,仅进行短距离牵引遛狗。
曾讨论过进行骶髂关节取样以排除细菌生长,但由于治疗开始后症状迅速缓解,主人拒绝了这一建议。此外,还讨论了幼年骨盆联合分离术和双侧骨盆截骨术作为治疗髋关节松弛的可能方法,但均被主人拒绝。
04 预后
3周后,没有跛行,在触摸腰骶部或骶髂关节区域时没有疼痛表现。与右侧髋关节相比,左侧髋关节的伸展轻度受限。跖骨外旋程度较轻。继续进行物理治疗,并以2 mg/kg的剂量每天一次给予卡洛芬,持续一周。
1个月后,临床表现正常。跖骨外旋情况与之前相同。
6周后,X光片显示侵蚀性病变的范围显著缩小,骨骼密度整体增加,骶髂关节间隙变窄(下图)。X光片上病变的缓解尚不完全。继续进行物理治疗,并允许恢复正常的活动。

↑ 腹背位X光片显示骶髂关节的侵蚀性病变有轻度改善(红色箭头)。
1.5年后,主人报告称该犬保持正常的活动能力,没有临床不适。触摸骶髂关节和腰骶部时无疼痛表现。髋关节的活动范围正常且无疼痛。临床上观察到轻度跗骨外旋。X光和CT未显示侵蚀性或硬化性病变的迹象,骶髂关节的外观被认为是正常的(下图)。在国际犬联官方的髋关节发育不良筛查中,髋关节被评定为D/D(中度髋关节发育不良)。

↑ (a)1.5年后拍摄的腹背位X光片,显示骶髂关节的侵蚀性病变完全消失,并显示出中度髋关节发育不良。(b)CT图像(冠状面)显示病变完全消失。
患者的临床表现和X光结果强烈支持非化脓性侵蚀性骶髂关节炎的诊断。然而,由于没有进行关节穿刺和培养,无法完全排除感染的可能性。
05 讨论
从本病例报告涉及的疾病为非化脓性侵蚀性骶髂关节炎。骶髂关节是连接骶骨和髂骨的重要关节,其结构复杂,包含滑膜和纤维软骨,主要负责承重以及将后肢的推进力传递至脊柱。
在人类中,骶髂关节疼痛是下背痛的常见原因之一,约占25%的病例。骶髂关节炎可由多种疾病引起,包括风湿性炎症性疾病、非炎症性疾病、感染性疾病,甚至恶性肿瘤。在犬中,也有化脓性骶髂关节炎(与细菌感染相关)的病例报告,以及少数非化脓性非侵蚀性骶髂关节炎的报道。
本病例中,一只4个月大的雄性伯恩山犬因后肢步态异常和跗关节过度伸展而就诊。临床检查发现腰部和骶髂区域疼痛,影像学检查显示左侧骶髂关节出现对称性侵蚀性病变,髋关节出现轻度松弛。CT检查进一步揭示了双侧骶髂关节的多处深部关节骨侵蚀,周围骨质硬化,关节间隙不规则增宽。
基于这些临床表现和影像学特征,初步诊断为炎症性或感染性骶髂关节炎。然而,考虑到犬的年龄、临床症状以及CT表现,退行性和肿瘤性疾病被认为不太可能。
尽管未能进行骶髂关节穿刺以排除细菌感染,但该犬对保守治疗(包括卡洛芬、物理治疗、关节保健品以及限制运动)反应良好,临床症状在3周内完全消失,且在1.5年的随访中未出现复发。
影像学检查显示侵蚀性病变在1.5年后完全消失,这进一步支持了非化脓性侵蚀性骶髂关节炎的诊断。尽管如此,由于未进行关节穿刺和微生物培养,无法完全排除感染的可能性。
在人类中,侵蚀性骶髂关节炎常见于儿童的附着点相关脊柱关节炎亚型。然而,在犬中,幼犬的类风湿性疾病较为罕见。本病例中,非化脓性骶髂关节炎的病因尚不清楚,可能与炎症或自限性自身免疫性疾病有关。
此外,该犬还存在轻度双侧髋关节松弛,但并未被认为是导致临床症状的主要原因。尽管髋关节发育不良是后肢步态异常和疼痛的可能鉴别诊断,但本病例的临床症状通过保守治疗迅速缓解,表明骶髂关节病变是主要病因。
总之,本病例报告描述了一只幼犬的非化脓性侵蚀性骶髂关节炎,这是一种在犬类中极为罕见的疾病。通过保守治疗,该犬的临床症状完全消失,影像学检查也显示病变完全恢复。尽管未能通过关节穿刺确诊,但临床表现和影像学进展高度支持非化脓性侵蚀性骶髂关节炎的诊断。
在犬中,骶髂关节疼痛可能被低估,因为其诊断较为复杂。未来需要进一步研究,以更好地理解这种疾病的发生机制,并探索更准确的诊断方法,如关节内局部麻醉阻滞的应用。
文献来源:Mäkitaipale J, Eley N. Case Report: Presumed non-septic erosive sacroiliitis in a juvenile Bernese Mountain Dog: a 1.5-year follow-up. Front Vet Sci. 2025 Oct 7;12:1611436.
