
| 一般情况 | |
![]() | 品种:德文卷毛猫 |
| 年龄:3岁 | |
| 性别:雌 | |
| 是否绝育:是 | |
| 诊断:巨大胃黏膜肥厚症 | |
01 主诉及病史
因急性干呕、恶心和呕吐就诊。
02 检查
一般临床检查、常规血液学检查和放射学检查均无异常。尽管如此,临床症状仍然持续存在,并逐渐恶化。
初次就诊后的第11天,进行了胃镜检查。使用5 mcg/kg右美托咪定和0.2 mg/kg布托啡诺静脉注射以镇静。使用4 mg/kg丙泊酚静脉注射诱导麻醉。在失去咽反射后,用3.5 mm的气管内导管进行气管插管,并充气。
进行胃镜检查,通过食管括约肌后,胃底、贲门和大弯处显示出明显的胃黏膜皱襞增厚(下图)。使用内窥镜活检钳,取胃和十二指肠黏膜样本进行实验室细胞学检查。

↑ 胃镜检查显示异常的胃壁。胃部病变沿胃底、贲门(A)和大部分大弯(B)延伸。
涂片显示细胞丰富,背景呈嗜酸性。存在正常大小的柱状上皮细胞,单个圆形细胞核表现出等细胞性和等核性。未观察到有丝分裂。圆形细胞群由约70%的浆细胞、15%的非退行性中性粒细胞、10%的嗜酸性粒细胞和5%的小淋巴细胞组成。未发现真菌菌丝和原虫。可见大量类似幽门螺杆菌的细胞外生物。可见大量细胞外血红蛋白结晶。
经过广泛文献查阅,怀疑是巨大胃黏膜肥厚症(Ménétrier病),因此提出了外科治疗方案,并被猫主人接受。术前进行了全身CT,结果无异常。
03 治疗
初次就诊后的第53天,进行了部分胃切除术。
使用5 mcg/kg右美托咪定和0.2 mg/kg美沙酮肌肉注射镇静。使用4 mg/kg的丙泊酚静脉注射诱导麻醉,并通过2%七氟醚在2L纯氧中维持麻醉。
剃毛和无菌术准备后,进行了前侧腹部切开。胃切开后,可见胃黏膜上有一个边界不清的脑回状新生物,并以1厘米的清晰边界将其切除。这与胃镜检查中观察到的胃部变化相符。相邻的肝脏、肠、膈肌和腹壁均未显示任何宏观变化。
切除的胃壁新生物的最大尺寸分别为64毫米(长)、25毫米(宽)和8毫米(厚)。考虑到切除病变的不规则形状和形态,胃壁以Y形缝合。使用3-0缝线缝合胃黏膜和浆膜层,2-0缝线缝合横筋膜和腹壁,而25号缝线用于皮下和皮内缝合。
术后穿上术后保护服,并每4小时少量给予低脂胃肠饲料。预防性地给予抗生素(阿莫西林和克拉维酸,22 mg/kg,口服,每日两次),并给予非甾体抗炎药(美洛昔康0.1 mg/kg,口服,每日一次),持续3天。
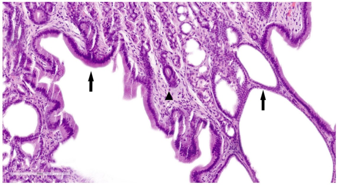
在组织学上,可见黏膜层弥漫性显著增厚。表面柱状上皮多灶性溃疡,但在完整区域无异常。在整个黏膜中,少量大小不一、囊性扩张的黏膜腺体由单层扁平至立方上皮细胞排列(下图)。在少数区域,主细胞轻度增生,壁细胞缺失。

↑ 黏膜层弥漫性显著增厚,可见多灶性囊性扩张的黏膜腺体(箭头)。

↑ 囊性黏膜腺体由扁平至低立方上皮细胞排列(箭头)。在黏膜固有层可见轻度淋巴浆细胞性炎症浸润(三角形)。
黏膜固有层多灶性轻度扩张,少量淋巴细胞、少量浆细胞和罕见中性粒细胞,伴有多灶性轻度浅表黏膜纤维化。黏膜下层显示轻度水肿和充血。肌层无异常。肠系膜淋巴结显示轻度淋巴滤泡增生。所有发现均与囊性腺体扩张的增生性纤维化胃病一致,类似于犬Ménétrier病。
04 预后
术后2个月,进行了胃镜检查。黏膜光滑,无异常。胃切除部位的瘢痕组织形成符合术后变化。
05 讨论
Ménétrier病是兽医学中极为罕见的胃壁增生性疾病,对应于人类的Ménétrier病。其共同特征为:
- ①内镜下胃皱襞弥漫性、脑回状肥厚;
- ②组织学可见黏液腺囊肿样扩张、壁细胞与主细胞萎缩、固有层纤维增生及轻度混合性炎症;
- ③临床表现以呕吐、体重下降、腹痛、低白蛋白血症为主。
Ménétrier病被认为是一种“失蛋白性胃病”,胃上皮紧密连接障碍导致血浆蛋白持续渗漏,重症者可因低蛋白血症并发胸腹水、血栓及恶病质。人医已报道Ménétrier病与幽门螺杆菌感染、TGF-α高表达及胃癌相关;兽医文献则提示Ménétrier病可合并胃腺癌、肉瘤或幽门螺杆菌感染。然而,犬猫Ménétrier病的确切病因、遗传背景及恶变潜能仍不明确。
本例德文卷毛猫因急性干呕、反胃就诊,实验室及影像学初检均无低白蛋白血症或贫血,与既往猫Ménétrier病报道截然不同。胃镜及胃部分切除术后全层组织病理,确诊为“增生性纤维化胃病伴多发囊肿样腺体扩张”,与犬Ménétrier病特征完全吻合。由此可见,对于反复呕吐、胃皱襞明显肥厚的病例,若浅表活检无特异性发现,应尽早考虑全层活检或手术探查,以免延误。
本例多次镜检均见幽门螺旋杆菌,但根除治疗并未改善症状。结合近年研究:①健康猫胃内幽门螺旋杆菌检出率高达60–80%;②犬Ménétrier病病例中亦常见该菌,却难以证实其因果关系。因此倾向于把幽门螺旋杆菌视为伴随菌群或二次定植,而非Ménétrier病的始动因子。
患猫虽无低白蛋白血症,但呕吐顽固、药物无效、胃壁肥厚持续进展,且不能排除潜在恶变,遂行“胃底-大弯侧脑回状病灶切除术”。术中沿病灶外1 cm做完整切除,胃壁呈Y形缝合,既保证切缘安全,又维持了胃腔容积。术后2个月复查内镜,原肥厚皱襞完全消失,仅见线性瘢痕,猫体重恢复、无呕吐。
据作者查阅,这是首例经手术治愈猫Ménétrier病的公开报道,提示:
- ①对药物难治、局灶或多灶性肥厚病灶,早期手术可阻断蛋白丢失及恶变进程;
- ②即使无典型低白蛋白血症,只要症状顽固、镜下病变典型,亦可积极考虑手术。
既往犬Ménétrier病多发生于7岁以上老年犬,本例猫仅3岁,提示年龄并非唯一门槛。德文卷毛猫在国内病例罕见,该品种是否存在遗传易感性值得收集更多家系数据验证。
本研究未对幽门螺杆菌进行PCR分型,亦未行免疫组化排除早期肿瘤,且随访仅2.5个月,长期疗效及复发率尚待评估。建议术后每3–6个月复查内镜与腹部超声,至少持续2年,以便及时发现复发或恶变。
总之,猫Ménétrier病极为罕见,易因浅表活检阴性而被漏诊。对反复呕吐、胃皱襞脑回状肥厚的病例,应行全层胃壁组织病理学检查以确诊。即使未出现低白蛋白血症,对药物难治性Ménétrier病,早期施行胃部分切除术仍能迅速消除症状、恢复生活质量,为今后猫Ménétrier病治疗提供了新的、有效的选择。后续需扩大样本量、延长随访,并探讨病因学与恶变机制,以形成规范诊疗路径。
文献来源:Burbaitė E, Stankus V, de Vries C, Bandzevičiūtė B, Sabūnas V. Successful surgical management of Ménétrier-like disease in a Devon Rex cat. Braz J Vet Med. 2025 Oct 1;47:e005625.
