
01 定义/概述
- 胃部的罕见恶性肿瘤可能起源于胃黏膜上皮(腺癌)、平滑肌(平滑肌肉瘤)或卡哈尔间质细胞(胃肠道间质瘤)。
- 其他胃部恶性肿瘤包括淋巴瘤(猫最常见的胃部肿瘤;犬较少见)、髓外浆细胞瘤、肥大细胞瘤、纤维肉瘤。
02 病因/发病机制
- 总体未知。
- 怀疑与遗传和环境因素有关。
- 怀疑胃肠道中KIT基因的不受控活动与胃肠道间质瘤(GIST)的发生有关。
- 腺癌。
–犬:有报告称长期给予亚硝胺的实验犬发病率增加;临床相关性未知。
–犬和猫:慢性胃炎被怀疑是一种可能的原因,特别是在有萎缩性胃炎病史的挪威猎鸟犬中。
—幽门螺杆菌感染是人类的风险因素,但在犬中较为罕见。犬确实有其他类似的胃肠道细菌,但与胃肿瘤的关联尚不清楚。
- 总体发病率:胃肿瘤占恶性肿瘤的比例不到1%。
- 犬:腺癌最常见(70%–80%),其次是平滑肌肉瘤、GIST和淋巴瘤。平滑肌肉瘤比GIST更常出现在胃部。
- 猫:淋巴瘤是最常见的胃部肿瘤,其次是腺癌(更常出现在肠道)和肥大细胞瘤。
1. 受影响的系统
- 胃肠道。
- 可能的转移部位。
–血液/淋巴/免疫(区域淋巴结,较少见的是脾脏)。
–肝胆。
–呼吸系统。
–生殖系统(犬腺癌可能转移至睾丸)。
03 病史
- 多见于中年至老年(>6岁)的犬和猫。
- 腺癌。
–犬:中位年龄8–10岁,雄性更常见。
–易感品种:比利时牧羊犬、松狮犬、德国牧羊犬、挪威猎鸟犬、荷兰特弗伦牧羊犬、斯塔福郡牛头梗、粗毛柯利犬、格罗恩代尔犬、布勒犬、标准贵宾犬。
–猫:暹罗猫易感;有报告称两只相关的波斯猫患有胃腺癌。
- 平滑肌肉瘤/GIST。
–中位年龄10–11岁。
–无品种或性别倾向。
1. 病史发现
- 症状可能在数周至数月内出现,通常在疾病晚期才显现,除非病变位于幽门并导致出口梗阻。
- 食欲不振。
- 呕吐,可能伴有呕血或“咖啡渣样”物质。
- 体重减轻。
- 精神萎靡。
- 平滑肌肉瘤/GIST:与低血糖相关的症状(癫痫发作、虚弱等)。
04 临床表现
- 体重减轻。
- 可触及的腹部肿块(不常见)。
- 腹部不适。
05 鉴别诊断
- 平滑肌瘤。
- 腺瘤。
- 异物。
- 胰腺炎。
- 寄生虫。
06 诊断
1. 全血细胞计数/生化/尿液分析
- 实验室检查通常正常。
- 贫血:可能是正细胞正色素性(慢性疾病)或小细胞低色素性(缺铁性贫血),如果肿瘤溃疡导致严重失血。
- 白细胞增多,通常为中性粒细胞增多。
- 在肌酐正常的情况下,血尿素氮轻度且持续升高可能支持胃肿瘤导致的失血。
- 肝转移或胆总管阻塞时,肝酶可能升高。
- 低白蛋白血症。
- 平滑肌肉瘤/GIST:可能会出现低血糖作为副肿瘤综合征。
2. 其他实验室检查
- 粪便隐血可能呈阳性。
- 腺癌:胃泌素水平可能升高。
3. 影像学检查
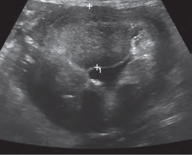
- 腹部超声:可能会看到胃壁增厚或腔内肿块,还可以识别出肿大的淋巴结或其他器官的异常。腺癌通常固定在幽门窦的小弯侧,累及胃壁全层(图1)。平滑肌肉瘤通常位于黏膜下,更常出现在贲门附近。

图1. 胃腺癌的超声图像,显示胃窦部有一个肿块。在幽门的胃窦部,靠近黏膜处,有一个大约2×3厘米的管状肿块,呈显著高回声,伴有低回声斑驳。
- 阳性对比造影:如果存在相应的出口梗阻,可能会看到腔内肿块导致充盈缺损。还可能会看到胃排空延迟和蠕动减弱。
- 使用对比增强的CT或MRI进行高级成像,可以提供胃肠道的高质量图像,提高识别胃肿块的敏感性。
- 腹部X光片:可能会看到浆膜细节丢失、胃壁增厚和/或肿块效应,但通常难以识别胃肿块。
- 胸部X光片:应进行完整的分期检查,尽管在初次诊断时很少看到肺部转移。
4. 其他诊断程序
- 细针抽吸:如果超声发现胃肿块、增厚或肿大的淋巴结,细针抽吸细胞学检查可能显示具有恶性特征的上皮细胞或间充质细胞,分别支持癌或肉瘤的诊断。这也有助于排除淋巴瘤。然而,间充质肿瘤可能不会很好地脱落细胞。
- 内窥镜检查:有助于观察肿块并收集活检样本;还可以评估覆盖的黏膜。
- 可能会进行内窥镜活检,但如果肿瘤位于黏膜表面以下,或者肿块超出内窥镜的范围,通常无法确诊。腺癌尤其常含有坏死和炎症区域,导致假阴性组织病理学结果较为常见。
- 开腹手术活检是金标准,通常需要用于确认诊断(图2、3)。

图2. 图1中胃部肿块的术中视图。肿瘤沿胃小弯从幽门窦延伸至胃体,由外科医生的拇指勾勒出范围。Doyen钳代表胃切除的范围,而止血钳用于血管结扎。注意胰腺左侧部位的变色,该部位在手术中被切除。

图3. 图2中胃部肿块切除后的术后视图。该图像显示了胃十二指肠吻合术(下)和胆囊十二指肠吻合术(上)部位的切口线。Doyen钳放置在手术部位的远端,胆囊在图像的右上方可见。
5. 病理发现
- 腺癌。
–大体:通常呈硬癌(质地坚硬,浆膜表面呈白色)且不可扩张,这种外观被称为皮革胃。常有溃疡,中央有坏死的溃疡面。
–细胞学:恶性上皮细胞群体,常有印戒细胞、微囊泡和细胞多形性。
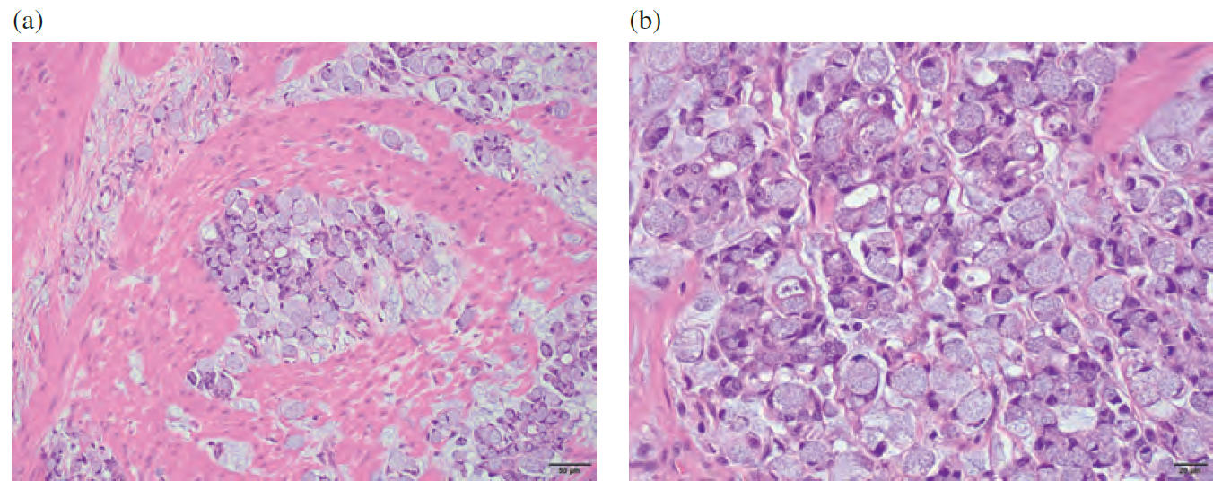
–组织病理学:肿瘤性上皮细胞呈杂乱的巢状和条索状排列。也可看到印戒细胞(图4)。

图4. (a) 胃腺癌的组织病理学标本(20倍放大),显示肿瘤性上皮细胞侵入肌层。(b)40倍放大显示多边形至圆形的肿瘤细胞呈杂乱的巢状和条索状排列。存在大量印戒细胞(核偏位,单个颗粒状胞质空泡)。
① 世界卫生组织根据生长模式的分类系统:乳头状、管状、黏液性、印戒细胞型、未分化型。
② 还分为间质型和弥漫型。
③ 亚型的临床和预后意义尚不清楚。
- 平滑肌肉瘤/GIST。
–大体:质地坚硬,黏膜下肿块,表面黏膜正常。
–细胞学:间叶组织肿瘤通常脱落细胞较少。
–组织病理学:梭形至上皮样细胞呈流线状和交错束状排列,主要累及肌层的平滑肌。平滑肌肉瘤和GIST只能通过免疫组化来区分。
① 平滑肌肉瘤:免疫组化对平滑肌肌动蛋白呈阳性,可能对desmin蛋白呈阳性或阴性。
② GIST:免疫组化对KIT(c-kit或CD117)呈阳性,可能对CD34呈阳性或阴性。
07 治疗
1. 药物选择
- 化疗。
–腺癌:报告仅限于病例研究和系列,与单纯手术相比,未发现生存获益。方案包括卡铂、阿霉素、顺铂、5-氟尿嘧啶和环磷酰胺。
–GIST:可能会对酪氨酸激酶抑制剂(例如托卡替尼磷酸盐)产生反应,前提是表达KIT,尽管目前尚无具体研究。
2. 护理措施
- 在手术恢复期间考虑少量多餐。
- 如有必要,考虑放置喂养管。
- 使用止吐药、抗酸药和镇痛药进行支持性护理。
- 对于低血糖患者,进行血糖监测,并给予适当治疗(葡萄糖或葡萄糖补充)。
3. 手术考虑
- 手术切除是首选治疗方法;然而,由于胃部肿块位置复杂(尤其是幽门窦)、病变范围广泛以及患者身体状况不佳,胃部肿块常常无法切除。
- 在进行广泛手术之前,需仔细评估是否存在转移,进行分期检查(例如肠系膜淋巴结、肝脏和肺部)。
- 进行全腹探查手术,并对任何其他异常病变进行活检。
- 手术选择。
–尽可能选择Billroth I:广泛部分胃切除术/幽门切除术,随后进行胃十二指肠吻合术。
–Billroth II手术的发病率较高:胃切除术/胃空肠吻合术。
–某些病变需要进行胆道旁路手术或全胃切除术,这与发病率增加有关。
- 平滑肌肉瘤和GIST较为局限且孤立,可通过胃切开术及黏膜下切除术进行切除。
